症例集Implant Cace
インプラント症例
Implants Case Study.
比較的簡単な奥歯のインプラント症例や、お口全体に渡るインプラント症例などは割愛し、インプラント担当医の世界でも特に難しいと言われる前歯のインプラント症例をご紹介しています。
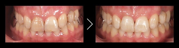
前歯のインプラント
| 治療の説明 | |
|---|---|
| 治療内容 | インプラント埋入 |
| 費用 | 2,120,000円 +税 |
| リスク・副作用 | インプラントは、過剰な咬合力がかかった場合、インプラント周囲炎により骨の吸収を認めることがあります |
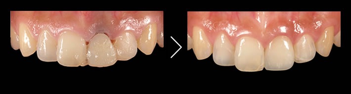
右の前歯が折れた
| 治療の説明 | |
|---|---|
| 治療内容 | インプラント埋入 |
| 費用 | 530,000円 +税 |
| リスク・副作用 | インプラントは、過剰な咬合力がかかった場合、インプラント周囲炎により骨の吸収を認めることがあります |
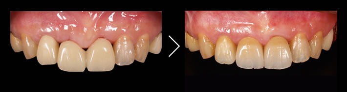
前歯の見た目をキレイにしたい
| 治療の説明 | |
|---|---|
| 治療内容 | インプラント埋入 |
| 費用 | 580,000円 +税 |
| リスク・副作用 | インプラントは、過剰な咬合力がかかった場合、インプラント周囲炎により骨の吸収を認めることがあります |
歯の内部にヒビが入った前歯
| 治療の説明 | |
|---|---|
| 治療内容 | インプラント埋入 |
| 費用 | 530,000円 +税 |
| リスク・副作用 | インプラントは、過剰な咬合力がかかった場合、インプラント周囲炎により骨の吸収を認めることがあります |
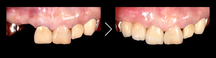
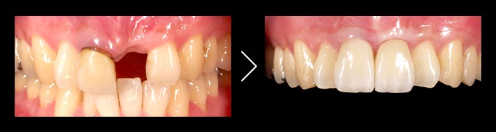
前歯の欠損に対するインプラント
| 治療の説明 | |
|---|---|
| 治療内容 | インプラント埋入 |
| 費用 | 1,360,000円 +税 |
| リスク・副作用 | インプラントは、過剰な咬合力がかかった場合、インプラント周囲炎により骨の吸収を認めることがあります |
前歯を失った状態が長く経過した
| 治療の説明 | |
|---|---|
| 治療内容 | インプラント埋入 |
| 費用 | 680,000円 +税 |
| リスク・副作用 | インプラントは、過剰な咬合力がかかった場合、インプラント周囲炎により骨の吸収を認めることがあります |
前歯の抜歯を宣告された
| 治療の説明 | |
|---|---|
| 治療内容 | 欠損歯の問題を解決する目的で、インプラント体に人工歯を固定する治療 |
| 費用 | 1,360,000円 +税 |
| リスク・副作用 | インプラントは、過剰な咬合力がかかった場合、インプラント周囲炎により骨の吸収を認めることがあります |
事故で前歯部を欠損した症例
| 治療の説明 | |
|---|---|
| 治療内容 | 欠損歯の問題を解決する目的で、インプラント体に人工歯を固定する治療 |
| 費用 | 580,000円 +税 |
| リスク・副作用 | インプラントは、過剰な咬合力がかかった場合、インプラント周囲炎により骨の吸収を認めることがあります |
長期に渡って美しさを保ち続ける前歯のインプラント






-
01
- 前歯のインプラント治療では、見た目の良し悪しが患者様の満足度を大きく左右します。しかし、誰が見てもインプラントと分からないほどの自然な美しさを実現するのは、非常に困難です。
-
02
- インプラント治療は、診査・診断・治療計画が全てです。フリーハンドでインプラントを埋入するのではなく、3Dシミュレーションを行い、計画的に間違いの起こらないよう埋入することが肝心です。
-
03
- 自分の施した治療の結果を10年、20年と追跡して、そこから学び、日々技術を高めていくために治療前後の症例写真をはじめ、徹底した臨床記録を管理する必要があります。
-
04
- インプラント治療は、行程を短縮して効率化すれば安価に提供することができますが、歯周病の管理、咬み合わせの調整、見た目の美しさなど全てのことを考えれば、決して安売りすることはできません。
-
05
- 骨が少ないので、インプラント治療はできません。と言うのは簡単なことです。しかし、全ての患者様にインプラント治療を提供できるように、新しい技術・困難な症例に挑み続けるのは、歯科医師としてのこだわり、プライドの問題です。
-
06
- 優れたインプラントクリニックは、歯科技工士を大切にします。歯科医師と技工士のチームワークが成り立って初めて高品質のインプラント治療が可能になります。目に見えている人工歯は技工士の作品なのです。
-
07
- オペ室には高性能なマイクロスコープをはじめ、医科用の全身麻酔システム、麻酔計、クリーンシステムなど安心・安全な手術に必要なあらゆる設備が整っています。また、滅菌室・ラボ・リカバリールームなどにもこだわっています。










