一般矯正Orthodontic
安心の矯正治療
歯を動かす装置
表側
ブラケットがプラスティックやセラミックで、半透明や歯に合わせた白色のためほとんど目立ちません。金属製ブラケットと同様に歯に接着して真ん中の溝にワイヤーを通します。希望により目立たないワイヤー(ホワイトワイヤー)も使用することができます。治療期間も金属製のブラケットと変わりません。
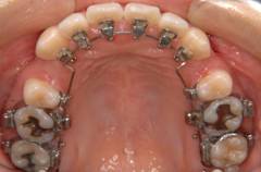
裏側
ブラケットは金属製ですが、歯の裏側に接着するため装置は見えません。矯正をしたいけれど、矯正装置を付けていることを他人に分かってしまうのが嫌とか、職業柄表側の矯正ができないなどという方には舌側矯正が最適です。矯正装置が外側から見えないので他人に気づかれずに安心して矯正治療を受けられます。
マウスピース状の矯正装置
ワイヤーを使わない、自分で取り外しができる透明なマウスピース状の装置です。歯に装置を接着しないため異物感や喋りにくさなどはあまりなく、金属アレルギーの心配もありません。 矯正治療を始めても前と変わらず歯磨きができますが、適応できる症例は若干限定されます。
プレート型の矯正装置
プレート矯正は、取り外し可能なプレートを使用して顎の骨を拡大するとともに、歯の移動をおこなう矯正治療です。特に、成長期にプレートを用いて治療するとよいですが、成人の矯正治療でも適応できる場合が多くあります。
