正確な診査・診断とガイデッドサージェリー
-
01
- 前歯のインプラント治療では、見た目の良し悪しが患者様の満足度を大きく左右します。しかし、誰が見てもインプラントと分からないほどの自然な美しさを実現するのは、非常に困難です。
-
02
- インプラント治療は、診査・診断・治療計画が全てです。フリーハンドでインプラントを埋入するのではなく、3Dシミュレーションを行い、計画的に間違いの起こらないよう埋入することが肝心です。
-
03
- 自分の施した治療の結果を10年、20年と追跡して、そこから学び、日々技術を高めていくために治療前後の症例写真をはじめ、徹底した臨床記録を管理する必要があります。
-
04
- インプラント治療は、行程を短縮して効率化すれば安価に提供することができますが、歯周病の管理、咬み合わせの調整、見た目の美しさなど全てのことを考えれば、決して安売りすることはできません。
-
05
- 骨が少ないので、インプラント治療はできません。と言うのは簡単なことです。しかし、全ての患者様にインプラント治療を提供できるように、新しい技術・困難な症例に挑み続けるのは、歯科医師としてのこだわり、プライドの問題です。
-
06
- 優れたインプラントクリニックは、歯科技工士を大切にします。歯科医師と技工士のチームワークが成り立って初めて高品質のインプラント治療が可能になります。目に見えている人工歯は技工士の作品なのです。
-
07
- オペ室には高性能なマイクロスコープをはじめ、医科用の全身麻酔システム、麻酔計、クリーンシステムなど安心・安全な手術に必要なあらゆる設備が整っています。また、滅菌室・ラボ・リカバリールームなどにもこだわっています。
インプラントは治療計画が全て
Implants are all planning.
インプラント治療は、一般的には外科的な技術の方が注目されがちですが、正確な診査・診断と3Dプランニングを行わなければ、成功は感覚に依存してしまいます。All-on-4 CLINIC 最終的に入る歯に対して最適なインプラントの位置を術前に決定してから手術を行います。 また、正確な診査診断を通じて、出来るだけ治療回数を少なく、治療期間を短く、患者様の負担の少ない即時荷重(手術と同時に仮歯を入れ、見た目と機能を早期に回復する治療)を目指します。1. 診査・診断・治療計画
インプラント治療は、すぐに施術ができるケースばかりではありません。歯肉と骨の状態に応じてどのくらいの準備期間が必要か判断します。| Timing | 埋入時期 |
|---|---|
| Immediage | 抜歯後すぐに |
| Early stage | 歯肉の回復を待って(4〜8週後) |
| Late phase | 骨造成後(12〜16週後) |
| Late stage | 骨造成後、十分に待って(16週間以後) |
2. ワックスアップと補綴情報のデジタル化(スマートフュージョン)
ワックスアップとは、「歯科用ワックス」で歯の模型を作製して最終的な歯並び・咬み合わせをシミュレーションする手法です。これをスキャンし、CTデータと重ね合わせ、プランニングソフト上でワックスアップを視覚化します。
3. DTX studio™ implant による3Dプランニング
CT撮影データをDTX studio™ implantというソフトに読み込み、適切なインプラント埋入位置をプランニングし、実際の手術で使用する「サージカルテンプレート」が完成します。
このサージカルテンプレートを使用することで、歯ぐきを切開することなく適切な位置にインプラントを埋入することが可能になります。
インプラントポジション(=埋入位置)の大切さ
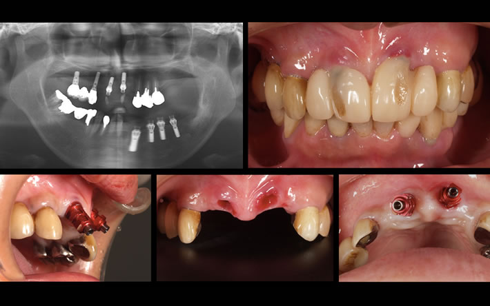
あてずっぽうに骨のある位置にインプラントを埋入してしまうと、下の写真のような見た目の問題を引き起こすだけでなく、歯肉も常に炎症をお越し、インプラント周囲炎にもつながります。 下の写真は、他医院でインプラント周囲炎を起こして転院して来られた方の症例です。インプラントの埋入位置・角度ともに無計画で、それをごまかすために作られた被せ物が、見た目にも極めて不自然です。この状態からリカバリーするには、インプラントを撤去した上で、失った骨を再生をさせるなど、多くの時間と費用がかかってしまいます。
また、正面から見れば一見普通に見える下の写真も、インプラントの埋入位置が悪いためそれをごまかす為に普通では考えられない上部構造の形にせざるを得ないという問題が発生しています。これでは下の前歯と噛み合わないため、前歯で噛み切るという動作は不可能です。
5. ガイデッドサージェリー
サージカルテンプレートを用いて、既に決められた位置にインプラントを埋入します。フリーハンドでの埋入と比べて、決して埋入位置がずれることはありません。
また、症例によっては「切らない」で手術を終える事ができるため、手術時間を短縮でき、腫れや、痛みを抑える事が可能です。当然、抜糸の必要もなく歯肉の治癒期間も短くなるので患者様の体への負担は大幅に削減されます。
もちろん、痛みはほぼ感じない状態で手術が終わります。
全身麻酔や静脈内鎮静などの高度な麻酔システムを使用しておりますので、痛みを極力感じさせない状態でインプラント治療を受ける事が可能です。 高度麻酔によるインプラント6. 即時荷重、仮歯装着〜最終補綴
即時加重(手術と同時に仮歯を入れ、見た目と機能を早期に回復する治療)を選択できると判断した場合は、術前にあらかじめ仮歯を用意しておきます。インプラントの埋入をした後すぐに仮歯を装着しますので、見た目にも自然な状態でお帰りいただけます。 最終補綴物装着(最終的な美しい歯を装着する)までの時間は日々短縮されています。
KNOWLEDGEインプラントの選び方










