失敗しないオールオンフォー
- 治療の流れ
- 私たちが選ばれる理由
オールオン4で失敗しないために
In order not to fail all-on-4.
当院には、オールオン4治療のセカンドオピニオンを求めた患者さんが多数いらっしゃいます。そのほとんどが、格安オールオン4を受けた患者さんです。
オールオン4治療の相場は、300万円前後です。
150万円程度の格安をアピールするオールオン4には、十分注意して下さい。
手間を省いて、粗悪なマテリアルを使うことで、安くすることは可能ですが、
結果的に患者さんを苦しめることになります。
そして、その結果は、数年経って初めて気付く。 長年にわたって真剣にオールオン4治療に取り組んできた私達だから分かる
この事実を是非ご理解下さい。
ホームページには、いくらでも嘘は書けます。
しかし、症例写真は嘘をつきません。私達は自信があるからこうして多くの症例を掲載しています。
本当の技術力は、症例を見ていただければ分かります。
オールオン4の症例一覧
メール問い合わせする
1. 力のコントロール
オールオン4で装着する上部構造は、あくまでも「人工物」です。噛むことによって生じる顎の強い力との調和が取れていなければ、上部構造が耐えきれずに壊れてしまう場合があります。
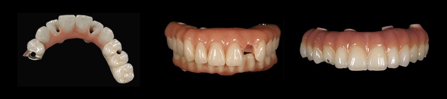
アクセスホールの位置
インプラント体と上部構造を連結するための穴を「アクセスホール」と呼びます。オールオンフォーでは、一般的に4つのアクセスホールを作成しますが、この位置関係が極めて重要になります。
赤や黄色の●で示した箇所にアクセスホールを作ってしまうと、上部構造が折れてしまったり、歯が割れてしまったりといったトラブルが発生する確率が著しく高まります。
インプラントの埋入位置について、事前に十分なシミュレーションを行っていない場合、その場凌ぎ的に不適切な箇所にアクセスホールを作ることになります。
術前の診査・診断・プランニング、咬合力の強さや補綴物のスペースを考慮した治療計画を作成し、ガイデッドサージェリーによってインプラント埋入を行えば、このようなミスは決して発生しません。
2. 炎症のコントロール
オールオン4で埋入したインプラント体の周囲の組織についても、感染による炎症の恐れがあります。特に、上下ともオールオンフォーのケースよりも、ご自身の歯が残っているケースでは歯周病のコントロールができなければ、インプラントが脱落してしまうリスクもあります。
All-on-4 CLINIC では、ご自身の歯を残して上下どちらかだけオールオン4にするようなケースでは、術前治療として徹底的に歯周病のコントロールを行います。
施術前と、施術後については定期的に細菌検査を行い、歯周病原菌が増殖していないか、チェックしていきます。上の図では、施術後2年経過した時点での細菌検査の結果です。術前治療で叩いて消滅させた歯周病原菌が2年経過して何らかの原因でまた増殖していることが分かります。
長期的に良い状態を維持するために、定期的なメインテナンスが必須です。All-on-4 CLINIC は治療成果を生涯存続させ、患者様が笑顔でいられるよう全力を尽くしています。
3. 粘膜のコントロール
患者様それぞれのライフスタイルを踏まえて、All-on-4 CLINIC 独自の技術で、上部構造の裏側に汚れのつきにくい形状を付与しています。上部構造の裏側は、歯ぐきと直接接する部分で、衛生管理の点からもとても繊細な設計が必要になります。
4. 次世代のナビゲーションシステム「X-Guide」
X-Guideは骨の中(神経や血管の走行など)をリアルタイムで確認しながら手術を行えるため、より正確かつ安全にインプラントを埋入することが可能です。
X-Guideを詳しくみる
7 REASONS私たちが選ばれる理由
- 1. 施術から24時間の仕上がり
- 2. 数多くの症例数
- 3. 幅広い治療技術
- 4. 魅了する上部構造
- 5. 痛みに配慮した治療
- 6. 保証・アフターフォロー
- 7. オールオン4で失敗しないために










