技工・ラボ
- 治療の流れ
- 私たちが選ばれる理由
魅了する上部構造
The world’s most beautiful superstructure.
インプラントは土台作りに過ぎません。
オールオン4成功の鍵は、補綴(=技工士)の技術とセンスです。
長期に渡って美しく機能する、選べる補綴のバリエーション
患者様それぞれに最適な上部構造をお選び頂けます。
All-on-4 CLINIC では、画一的な上部構造を提供致しません。フレーム、歯肉、歯、それぞれ、多彩なバリエーションをご用意しております。
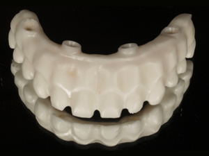
1. フレームのバリエーション
上部構造のフレームは、3タイプご用意しております。 生体親和性と、強度の違いがポイントになります。
| フレームの特徴 | ||
| チタン フレーム |
![]() |
比較的安価で、一定の強度をもったフレームです。チタンフレームにアクリリックレジンを盛りつける場合では、レジンに吸水性があるため、汚れや臭いの問題が発生するケースがあります。 |
|---|---|---|
| ジルコニア フレーム |
![]() |
生体親和性と強度に最も優れたフレームです。歯の部分まで一体となっていて、歯ぐきの部分と歯の部分の表面にレジンやセラミックを盛りつけます。 |
生体親和性について
下の写真は、それぞれのマテリアルと歯肉との相性(生体親和性)を示しています。チタンでは若干の炎症が見られるのに対し、ジルコニアではほぼ炎症反応は見られません。
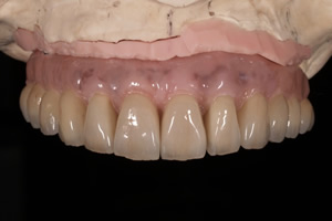
2. 歯と歯肉部分のバリエーション
歯と歯肉部分のバリエーションには、非一体型と一体型があります。
| タイプと特徴 | ||
|---|---|---|
| 非一体型 | ![]() ![]() ![]() |
非一体型は、各種フレームに、歯肉を直接盛りつけ、別途作製した歯を接着する方法で作製します。超美しく、自然な仕上がりを実現できますが、時間の経過とともに着色汚れがつきやすいデメリットがあります。
歯と歯肉部分は、アクリリックレジン・ハイブリッドセラミック・セラミックから選択することが可能です。 |
| 一体型(モノコック) | ![]() ![]() ![]() |
一体型は、ジルコニアフレームに歯肉部分と歯の部分を直接盛りつけて作製します。非一体型と比べて構造がシンプルなため強度が大幅に増します。
盛りつける素材は、ハイブリッドセラミック/セラミックから選択することが可能です。 |
「選べる」のは All-on-4 CLINIC だけ
患者様の咬み合わせの状態や、清掃環境、かけられる予算はそれぞれ異なります。
All-on-4 CLINIC では、それぞれの患者様の状態に合わせた最適なプランを提案致しますので、患者様ご自身に「選んで」いただくことが可能です。
オールオン4治療のリスクと副作用
上記治療の副作用として、「治療後の口腔管理が不適切な場合、埋入したインプラント周囲に感染・炎症を起こし、脱落する可能性」がございます。
7 REASONS私たちが選ばれる理由


















