インプラントクリニックの選び方How to Choose a Dental Implant Clinic
信頼できるインプラントクリニックの条件
01技術

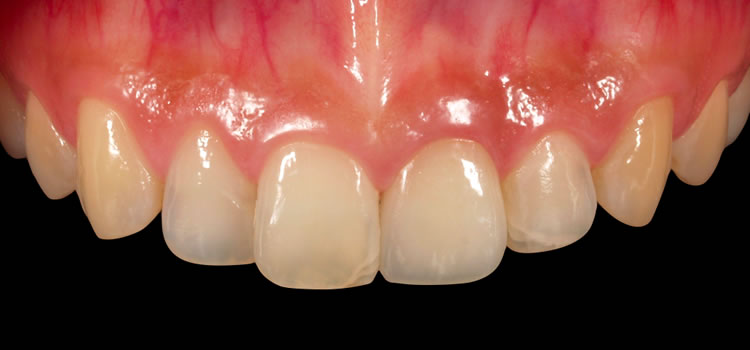
難しい前歯のインプラント
技術力は、前歯のインプラントで決まる
私たちが最も得意とするのがこの前歯のインプラント治療(審美インプラント)です。 誰が見てもインプラントと分からない水準で仕上げることが可能です。
02インプラント症例数

インプラント埋入本数10,000本以上の実績
Dr.橋村は2001年にインプラント治療を開始し、2023年までにインプラント埋入実績が10,000本以上あり、オールオン4を含めたフルマウスインプラント症例も1,000症例以上ございます。
03専門性の高い治療と設備

1つのオペ室、1人の患者様にこだわります。
患者様のために、難しい治療に必要な専門の医療機器を揃えております。医療技術・医療機器は日進月歩です。外科手術には、徹底した衛生管理が必要です。あなたは汚いクリニックで治療を受けたいですか?
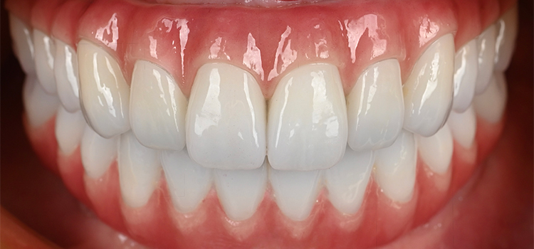
04美しい補綴物の仕上がり

歯科医と技工士のチームワーク
インプラント治療における外科手術は建築で例えるなら基礎工事。計画通りに柱が入っていなければいくら豪華な家を建てても数年で崩れてしまいます。家の部分を作る技工士の技術もとても重要。目に見えている人工歯は技工士の作品なのです。
05安心の長期保証

