診査・診断Examination & 3D Planning.
診査・診断・プランニングは、オールオン4を成功させる為の最も重要なステップです。
1. 3Dスマイルデザイン
「スマイルライン」と「トランジションライン」を設定し、自然に微笑んだ状態で、歯が最も美しく見える位置を決定します。

目と鼻の位置関係、正中を考慮し、ロー堤を用いて理想的な歯並びを決定します。

3Dスマイルデザインの結果に基づいて、次のWAX UPへと進みます。

仮の歯を作成し、お口にセットしてみて、実際の見え方を確認します。
歯を失ってしまった場合、多くのケースにおいて咬み合わせも破壊されてしまっています。全体的な咬み合わせを無視してインプラント治療を行っても、せっかく入れたインプラントはすぐダメになってしまいます。そのようなケースでは最終的な咬み合わせと歯並びを想定した「WAX UP」という手法が必要です。
2. WAX UPワックスアップ
WAX UP とは歯科用ワックスで歯の模型を作製して最終的な歯並び・咬み合わせをシミュレーションする手法のことを指します。
中心位と呼ばれる、顎関節の位置で咬み合わせを構築する為に、咬合器と呼ばれる顎の動きを再現する装置を用いて、顎の関節の位置や咬みあわせた際の筋肉まで、しっかり考慮します。

3. RADIO GRAPHIC GUIDEラジオグラフィックガイド
咬合器上で理想的な歯並びと咬み合わせを再現した「WAX UP」をベースに、ラジオグラフィックガイドを作製します。 ラジオグラフィックガイドとは、最終的な歯の位置・形態を表示したプラスチック製のマウスピースのことで、これを装着してCTを撮影します。


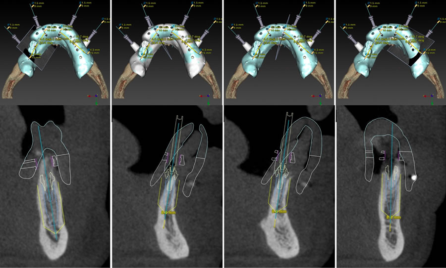
4.Nobel Clinician
CT撮影データをNobel Clinicianというソフトに読み込み、適切なインプラント埋入位置をプランニングし、実際の手術で使用する「サージカルテンプレート」が完成します。 このサージカルテンプレートを使用することで、歯ぐきを切開することなく適切な位置にインプラントを埋入することが可能になります。 症例によっては「切らない」で手術を終える事ができるため、手術時間を短縮でき、腫れや、痛みを抑える事が可能です。当然、抜糸の必要もなく歯肉の治癒期間も短くなるので患者様の体への負担は大幅に削減されます。


全てはプランニング次第
一度プランニングをすれば、全てはそのプランニング通りに進んでいきます。このプランニングが完成した時点でオールオン4治療は90%完了したといっても過言では有りません。

オールオン4で埋入するインプラント治療のリスクと副作用
上記治療の副作用として、「治療後の口腔管理が不適切な場合、埋入したインプラント周囲に感染・炎症を起こし、脱落する可能性」がございます。
