オールオン4女性 / 42歳
歯がボロボロなのは分かっているが、時間的な余裕が無いことと歯科に対する恐怖心から、悪いままの状態を放置してしまった。人前でおもいっきり笑いたいので意を決して来院。
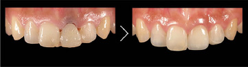
治療内容:オールオン4 / インプラント
治療詳細:ガイデッドサージェリーにてインプラント埋入。歯槽骨が残っていたため歯冠形態のみ(ガム無し)の補綴。
費用:¥3,850,000(税込) / 「モニター価格適用」
リスク:治療後の口腔管理が不適切な場合、埋入したインプラント周囲に感染・炎症を起こし、脱落する可能性がございます。











