インプラント

オールオン4無料相談受付中 オールオン4無料相談受付中

TO THE TOP OF IMPLANT

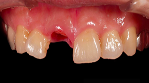
インプラント CASE #1

事故により左側の1前歯を失った患者様。他院から紹介を受けて、一時的に仮歯を接着した状態で来院。

事故で前歯部を欠損した症例

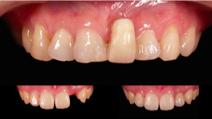
インプラント CASE #2

前歯3本のメタルボンドのブリッジで、支台歯の根尖病巣がひどく、抜歯を勧められて来院。

前歯の抜歯を宣告された

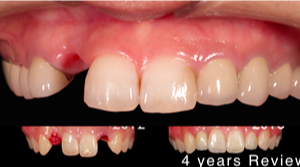
インプラント CASE #3

前歯を失った状態で時間が経過したため、骨が大きく吸収されています。

前歯を失った状態が長く経過した
インプラント治療症例

フルマウスインプラント治療実績
1,000症例以上(※オールオン4治療を含む)

2001年〜2010年 388症例
2011年〜2020年 513症例
2021年〜2023年 141症例

インプラント埋入実績
10,000本以上

2001年〜2010年 4,251本
2011年〜2020年 4,988本
2021年〜2023年 1,205本

5 points about implants安心のインプラント治療の5つのポイント

1. 技術

技術力で患者様の症状を改善する

インプラントメーカーであるノーベルバイオケアの公認インストラクターとして、全国の歯科医師にインプラント・オールオン4を教える講師も行っています。
一般的には治療が難しいと言われる難症例の患者様の治療も行っております。 詳細はこちら

2. 症例数

2001年から現在までのインプラント埋入本数10,000本以上

2001年からインプラント治療を開始し、これまでインプラント埋入数10,000本以上、フルマウスインプラント治療は1,000症例以上の実績があります。
【インプラント埋入本数】
2001年〜2010年 4,251本、2011年〜2020年 4,988本、2021年〜2023年 1,205本
【フルマウスインプラント治療実績】
2001年〜2010年 388症例、2011年〜2020年 513症例、2021年〜2023年 141症例
詳細はこちら

3. 痛みを感じにくい、怖くない治療

痛みを感じにくい治療を心掛けています。

オールオン4クリニックでは、少しの痛みでも苦手な方や嘔吐反射がある患者様でも安心して治療を受けていただけるように、全身麻酔、静脈内鎮静の麻酔下での治療を行っております。
また、浸潤麻酔(一般的な歯科麻酔)の際も、歯肉の表面麻酔をしてから行うので、痛みを感じることはありません。 詳細はこちら

4. 専門のデジタル機器を導入

専門のデジタル機器を導入し、難しい症例の患者様でも安心して治療を受けていただけます。

フェイシャルスキャンやDTX studio™ implantといった専門のデジタル機器を治療に取り入れ、歯科医師の経験に頼る治療ではなくデータに基づいた治療を行っております。 詳細はこちら

5. 安心の長期保証

オールオン4クリニックのインプラント治療は5年の安心保証がついております。

インプラント治療後、上部構造セットから5年間通常使用のうちに、不都合もしくは破損が生じた場合は、修理もしくはお取り換え治療を無料で行います。 詳細はこちら

Knowledgeインプラント治療の正しい知識

ちゃんとしたインプラントを
選びたい患者様へ

“成功とは、インプラントをただ埋入することではなく、
  インプラントが長期に渡って美しく機能し続けることである。”

KNOWLEDGE01

一番難しいのが、
前歯のインプラント治療

前歯のインプラント治療では、見た目の良し悪しが患者様の満足度を大きく左右します。しかし、誰が見てもインプラントと分からないほどの自然な美しさを実現するのは、簡単ではありません。インプラントの埋入位置の正確なプランニングがポイントになります。

前歯のインプラント治療

KNOWLEDGE02

正確な診査・診断と
痛みに配慮したインプラント

前歯のインプラント治療は、診査・診断・治療計画が全てです。骨のある位置に当てずっぽうに、フリーハンドでインプラントを埋入するのではなく、3Dシミュレーションを行い、計画的に間違いの起こらない方法で埋入することが肝心です。また、痛みを抑えて、出来るだけ治療回数を少なく、治療期間を短く、患者様の負担の少ない即時荷重(手術と同時に仮歯を入れ、見た目と機能を早期に回復する治療)を目指します。

インプラントの治療計画

KNOWLEDGE03

長期に渡ってあなたの
治療結果を見守る

インプラント治療で最も大切なことは、自分の施した治療の結果を10年、20年と追跡して、そこから学び、日々技術を高めていくことです。そのためには、治療前後の症例写真をはじめ、徹底した臨床記録を管理する必要があります。治療結果に真摯に向き合い、患者さまと共に歩む姿勢を大切に。

インプラントの治療後

KNOWLEDGE04

激安インプラントは大丈夫?
適正な価格を考える

手間を省くこと、安い技工物の使用、設備や衛生管理をいい加減に行うことでインプラント治療費はいくらでも安くできますが、安くて良いインプラント治療はあり得ないと断言できます。安さに惹かれ結局後でトラブルを抱えて後悔するケースが後を絶ちません。インプラント治療のやり直しは非常に難しいのです。インプラントの治療費は、ドクターの自信の現れとお考え下さい。

激安インプラントについて

KNOWLEDGE05

難しい症例に挑戦する
担当医のプライド

インプラント治療は、天然歯を守るとても素晴らしい治療法です。骨が少ないので、インプラント治療はできません。と言うのは簡単なことです。しかし、それは「あなたの主治医ができない」ということであり、「インプラント治療ができない」わけではありません。全ての患者様にインプラント治療を提供できるよう、技術習得のための勉強は一生続きます。

高難易度のインプラント治療

KNOWLEDGE06

美しい補綴物
の仕上がり

前歯インプラント治療における外科手術は建築で例えるなら基礎工事。計画通りに柱が入っていなければいくら豪華な家を建てても数年で崩れてしまいます。家の部分を作る技工士の技術もとても重要で、歯科医師と技工士のチームワークが成り立って初めて高度なインプラント治療が可能になります。目に見えている人工歯は技工士の作品なのです。

インプラントのチームワーク

KNOWLEDGE07

高度な治療に必要な
高性能の医療機器

患者様のために、高度な治療に必要な高性能の医療機器を揃えております。医療技術・医療機器は日進月歩です。外科手術には、徹底した衛生管理が必要です。あなたは汚いクリニックで治療を受けたいですか?高い管理レベルを保為に、1つのオペ室、1人の患者様にこだわります。

インプラントの治療設備

自分自身が納得できるか?
治療結果に真剣に向き合う。

Peace of Mindインプラント治療 安心のための取組み

インプラント保証

インプラント治療後、上部構造セットから5年間通常使用のうちに、不都合もしくは破損が生じた場合は、修理もしくはお取り換え治療を無料で行います。

インプラント保証

痛みに配慮したインプラント

点滴によって眠ったような状態を維持する静脈内鎮静、さらに痛みを抑えることに特化した「全身麻酔」まで対応可能な高性能設備を導入しています。

痛みに配慮したインプラント

メール相談

CT撮影・診断・カウンセリングが全て無料でお受け頂けます。院長があなたのためにゆっくりと時間を取って、最善のプランを提案致します。

メール相談

Implant feeImplantの費用

インプラント埋入 1本あたり 28万円〜50万円
治療のリスク インプラント周囲炎の可能性があるためメンテナンスが必要な場合がございます。

Clinic Information医院情報

  • テスト7
  • テスト6
  • テスト5
  • テスト4
  • テスト3
  • テスト2
  • テスト1
  • エントランス
  • オペ室ベージュ
  • オペ室
  • テスト7
  • テスト6
  • テスト5
  • テスト4
  • テスト3
  • テスト2
  • テスト1
  • エントランス
  • オペ室ベージュ
  • オペ室

TEL:0120-845-556(患者様専用)

〒104-0061
東京都中央区銀座2-8-12クローバー銀座ビル3F

診療時間 10:00~18:00(最終受付) / 休診:日曜・祝日