インプラント症例Implant Case
前歯のインプラント症例#2
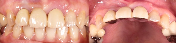
前歯の抜歯を宣告された
初診時
前歯3本のメタルボンドのブリッジで、支台歯の根尖病巣がひどく、抜歯を勧められて来院。

メタルボンドのブリッジではなく、硬質レジン前装ブリッジ。抜歯後、長期に渡り、ブリッジを装着していたため、歯槽骨の厚みがなくなってしまっている。

ワックスアップで仕上がりをシミュレーション
赤く塗った部位は、骨の吸収が進んでいるため骨造成が必要。

ガイデッドサージェリーによるインプラント埋入と同時に骨造成を実施



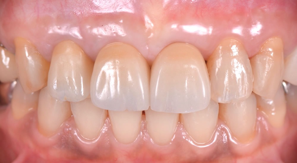
ファイナルレストレーション

| 治療内容 | 欠損歯の問題を解決する目的で、インプラント体に人工歯を固定する治療 |
|---|---|
| 費用 | 1,496,000円(税込) |
| リスク | インプラントは、過剰な咬合力がかかった場合、インプラント周囲炎により骨の吸収を認めることがあります |
