ザイゴマインプラントzygoma
ザイゴマインプラントとは
ザイゴマインプラントとは、上顎の骨が著しく吸収して通常のインプラントができない場合や、上顎洞が大きく張り出している場合に、頬骨(Zygomatic bone)を支えとして埋入する長さのある特殊なインプラントです。

ザイゴマインプラント ノーベルザイゴマ45°

通常のインプラント
通常のインプラントは一般的に6mmから18mm位ですが、ザイゴマインプラントは30mmから52.5mm(NobelBiocare)の長さがあります。

骨が無い為に、点線(⋯⋯⋯)の位置にインプラントを入れる事が出来ない(オールオン4が出来ない)場合(右側)、ザイゴマインプラントを頬骨に入れる事で、問題を解決する事が出来ます。それにより、手術と同時に仮歯を入れる事が可能となります。
ザイゴマインプラントは
なぜ難しいか
適切な位置にインプラントを埋入する為に、長いドリルを用いて遠い目標(頬骨)にドリルするので、正しい知識と多くの経験を必要とします。ドリルの方向を誤ると、眼窩に穿孔する可能性や偶発症を招く恐れがあるため、通常のインプラント手術に比べ、当然リスクは高まります。その為、通常のインプラントを施術できる歯科医師は多くいますが、ザイゴマインプラントを施術できる歯科医師は非常に少ないです。



Dr.橋村は2013年にザイゴマインプラント治療を開始し、通常のオールオン4が出来ない多くの患者様に対し噛める喜びを提供して参りました。現在は、ザイゴマインプラントを学びたい歯科医師に、安全で正しい治療法を習得してもらう事を目的とし、本治療を独自のテクニックを交え教えている、国内唯一のザイゴマインプラント講師です。
ザイゴマインプラントの歴史
ザイゴマインプラントを用い頬骨に固定源を得る方法は、1980年代にP-I Branemark、Eugene Kellerらにより行われ、1993年に報告されました。(1987年、上顎半分を切除された癌患者の再建の為に初めて行われた)その後、1998年にP-I Branemarkによって臨床プロトコルが作成され、「Zygomatic Fixture ad modum Branemark」がノーベルバイオケア社から正式に発表されました。現在、ザイゴマインプラントは、萎縮した上顎の治療の選択肢として充分なエビデンスが確立されております。
治療方法
01All-on-4 Hybrid
前方は通常のインプラント、後方にザイゴマインプラントを用い上部構造を支える方法を、一般的にオールオンフォーハイブリッドと呼びます。

症例



02All-on-4 Hybrid+2
噛む力が強い場合や、上下顎の噛み合わせの関係を考慮し、前方に4本のインプラントを入れ、後方にザイゴマインプラントを用い上部構造を支える場合があります。一般的にオールオンフォーハイブリッドプラスツーと呼びます。

症例



03All-on-4 Double Zygoma
前方、後方にザイゴマインプラントを用い上部構造を支える方法を、一般的にオールオンフォーダブルザイゴマやクアッドザイゴマと呼びます。上顎骨が大きく萎縮してしまったケースに対し、ザイゴマインプラントのみを用いる非常に難易度が高い治療法です。

症例



その他の方法
人によって左右の上顎洞の形態が異なる為に、片則のみザイゴマインプラントを用いたり、骨欠損の状態によりインプラントを前方に入れる事が出来ない場合等、変則的にザイゴマインプラントを用いる事もあります。



痛みや恐怖のない治療
ザイゴマインプラント治療を安全に行う為に、当院は全身麻酔設備を備えております。静脈内鎮静麻酔でもザイゴマインプラント手術は可能ですが、手術中に患者様が動いてしまった場合や、麻酔が切れてしまった場合に非常に危険な事があります。
全身麻酔を併用することで、気がついたら治療が終わっている為に、全く痛みや恐怖を感じる事はございません。
ザイゴマインプラントが
出来ない方
- 頬骨の幅や骨量が少なくザイゴマインプラントが入らない
- 蓄膿などの副鼻腔感染症がある(耳鼻科等で治療が必要です)
- 全身疾患等によりインプラント手術が出来ない(内科的治療により改善した場合は治療可能です)
ザイゴマインプラントの
リスク
ザイゴマインプラント治療により、急性細菌性副鼻腔炎を起こす可能性があります。上唇付近に手術後一過性の麻痺が起こる可能性があります。ザイゴマインプラントも通常のインプラント同様、メンテナンスを怠るとインプラント周囲炎を招く恐れがあります。
他院で行ったザイゴマインプラントのリカバリー
(再手術)
当院では、残念ながらザイゴマインプラント治療を受けた後に、不具合を生じてお困りの方に対しザイゴマインプラントの除去や再手術を行っております。ザイゴマインプラントでお困りの方はご相談ください。
治療例
他院でザイゴマインプラント治療を受けた後、仮歯の噛み合わせが悪いため噛みづらく顔貌も変わってしまった。また頬に違和感を感じたため当院を受診。
-

術前のパノラマX線画像
-

術前のCT画像
左右のザイゴマインプラントが頬骨から大きく飛び出し頬を触ると違和感がある -

術後のパノラマX線画像
-

術後のCT画像
前方のインプラントは残し、他院埋入のザイゴマインプラントを除去し、同時に新しいザイゴマインプラントを適切な位置に再埋入を行っております。治療後数年経過しておりますが良好な状態を保っております。
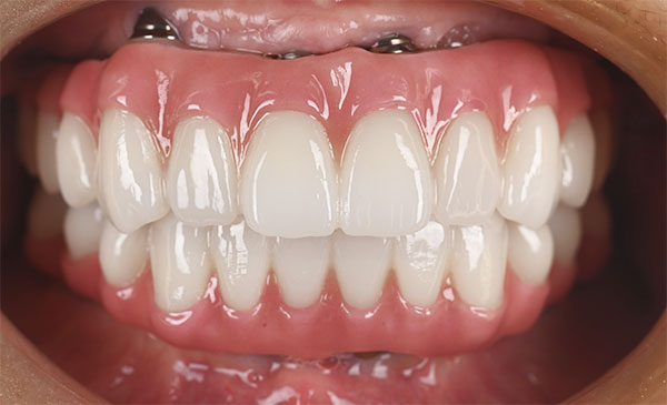
術後の正面観とスマイル時


| 治療期間 | 6ヶ月〜1年 |
|---|---|
| 治療方法 | 左右ザイゴマインプラント除去及び再埋入・上下仮歯(2回)及びフルジルコニア最終補綴物 |
| 治療費用 |
7,040,000円(税込) ※再手術費用・上下仮歯2回(1,540,000円)、及びフルジルコニア最終補綴物(5,500,000円) |
| リスク・副作用 | ザイゴマインプラント治療により、急性細菌性副鼻腔炎を起こす可能性があります。ザイゴマインプラントも通常のインプラント同様、メンテナンスを怠るとインプラント周囲炎を招く恐れがあります。 |

ザイゴマインプラントは多くの経験と熟練した技術が必要なので、少なくともザイゴマインプラントの経験年数が10年以上あり、数百本以上の埋入経験がある歯科医師に依頼する事をお勧めします。ザイゴマインプラントは通常のインプラントと同様、日常的に施術し経験を積むことで難しい手術ではなくなり、リスクは通常のインプラントとあまり変わらない治療になります。
医療法人ODC 理事長
オールオン4クリニック院長橋村 吾郎