インビザライン
目立たないマウスピース矯正 インビザライン
「インビザライン・システム」は、米国アライン・テクノロジー社により1999年に提供をはじめたマウスピース型カスタムメイド矯正歯科装置です。
現在、世界100カ国以上の国々で提供され、これまでに700万人を超える方々に選ばれています(2020年1月現在)
3D光学スキャナー
(iTero element)導入
- 歯型の採取を最初の1回で完結
- スキャニングもスピーディー
- 正確・精密な歯型を採取可能
- モニターで視覚的にイメージ
- 平均10日早く治療を開始できる
- 嘔吐反射がある方にも可能
治療期間を大幅に短縮できるPBMオルソを導入
当医院では治療期間を短縮できる「PBMオルソ」を取り扱っております。
ご自宅でのマウスピース矯正に追加でご利用いただくことで、最大で約1/2の期間で治療を完了することができます。
【ご注意】
矯正期間の短縮効果には個人差がございます。
ワイヤー矯正との違い
インビザライン![]() |
ワイヤー矯正![]() |
|
|---|---|---|
| 見た目 | 目立ちにくい | 金属が目立つ |
| 取り外し | 自分で取り外し可能 | 自分では取り外し不可 |
| 痛み | ほとんど痛みなし | 締め付ける痛みあり |
| 金属アレルギー | アレルギーなし | 可能性あり |
| 衛生面 | 取り外せるため通常のブラッシングでOK | 専用の歯ブラシが必要 |
| 会話 | ほぼ問題なし | 多少の違和感あり |
インビザライン矯正の流れ
01
無料カウンセリング
はじめに気になることをお伺いし相談します。あなたのお悩み、ご要望、現在のお口の中の状況も確認しながら、歯の見た目と噛み合わせの改善するための治療方針を立てていきます。
02
精密検査・印象採得
インビザライン矯正が適用可能かどうか、必要に応じてレントゲン撮影やCT検査など精密検査をいたします。その後、3Dシミュレーション(クリンチェック)作成のために、光学スキャナー(iTero element)にて口腔内のスキャニングを行います。
03
治療計画・シミュレーション
資料をもとに、お口周りの骨格や歯の状態、抜歯の有無・治療方法・治療期間・治療費・治療における注意事項など、わかりやすく丁寧にご説明いたします。
04
治療前のケア
お口の中をクリーニングして清潔にし、口腔環境を万全に整えていきます。
05
矯正治療の開始
あなた専用のマウスピースを作製し、マウスピースを合わせて治療を開始していきます。使用方法により、治療期間や仕上がりに影響を与えます。気をつけるポイントをご案内いたします。
06
治療完了・保定期間の開始
保定装置(リテーナー)を装着し、歯のあと戻りを防ぎ綺麗な歯並びを維持していきます。
07
アフターメインテナンス
保定期間終了後、定期的な検診やクリーニングを行います。
症例
Case.1
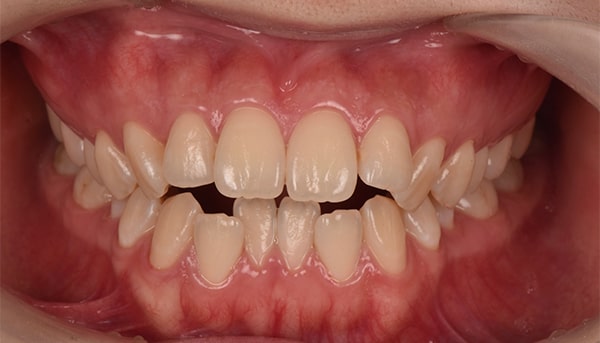
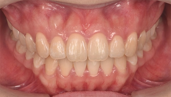
【正面】
After
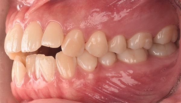
Before【右側面】
After
Before【左側面】
After
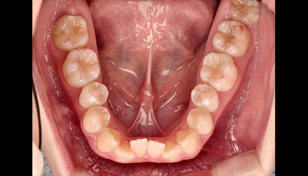
Before【下顎】
After
Before【正面】
Before
After
【右側面】
Before
After
【左側面】
Before
After
【下顎】
Before
After
| 年齢 | 20代前半 |
|---|---|
| 性別 | 女性 |
| 主訴 | 前歯のオープンブラックトライアングル、特に下の歯並びが気になる。 |
| 治療内容 | アライナー(マウスピース)枚数 オリジナル:21枚 追加:8枚 |
| 治療期間 | 28週間 |
|---|---|
| 治療回数 | 6回 |
| 治療費 | 682,000円(税込) (オリジナル660,000円+追加22,000円) ※自由診療となります。保険はききません。 |
| リスク | マウスピースを装着したまま飲食をするとマウスピースと歯の間に食べ物が挟まってしまい、虫歯の原因となる場合があります。 |
Clinic Information医院情報
- 各線銀座駅 A13出口 徒歩1分30秒
- 銀座一丁目駅 10・11番出口 徒歩1分
- 東銀座駅 A2出口 徒歩4分、JR有楽町 中央出口 徒歩6分
〒104-0061
東京都中央区銀座2-8-12クローバー銀座ビル3F
診療時間 10:00~18:00(最終受付)
休診:日曜・祝日
TEL:0120-845-556











