インプラントをどれだけ美しく仕上げられるかAesthetic Implants
技術力は、前歯の
インプラントで決まる
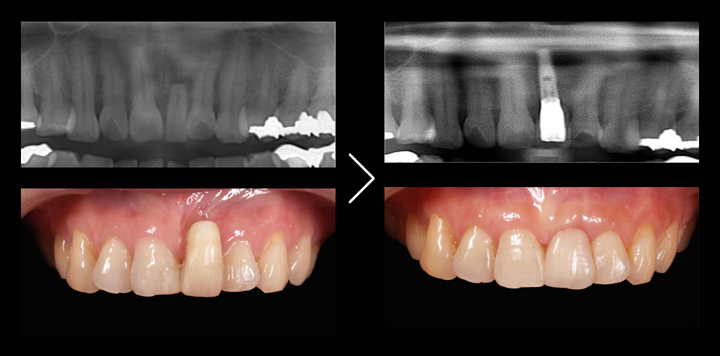
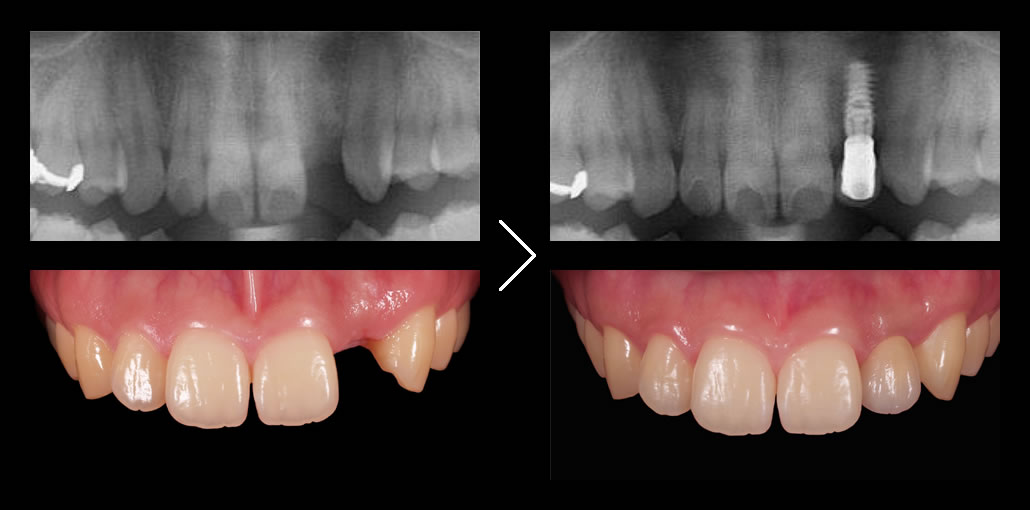
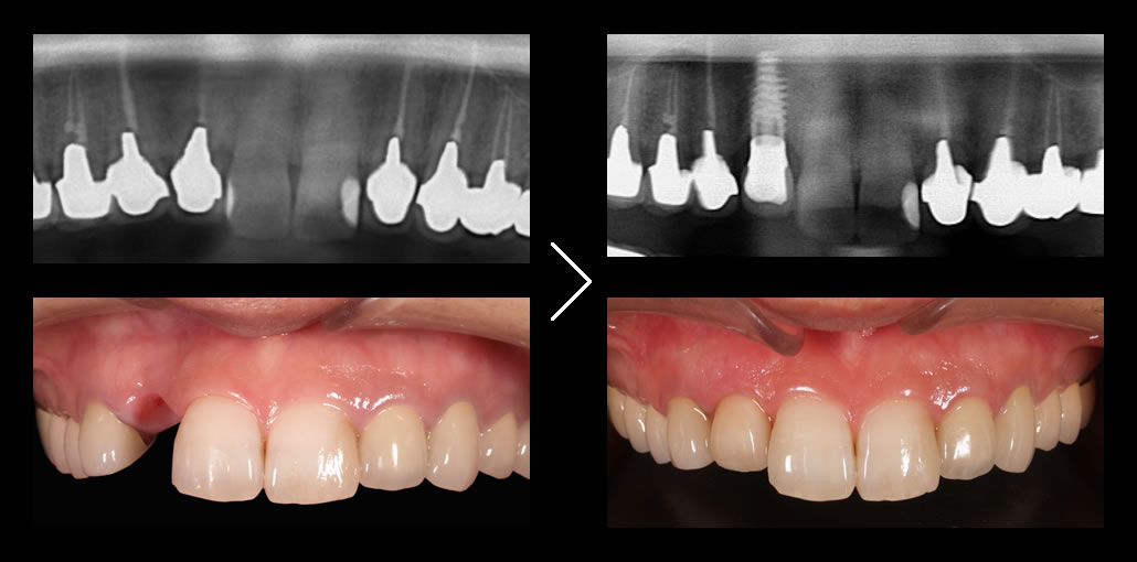
当院が最も得意とするのが前歯のインプラントです。
奥歯(臼歯部)で、十分な骨がある場合のインプラントは極めて簡単です。一方、インプラントを固定する骨が十分にない前歯のインプラントが最も難易度が高くなります。前歯は目立つため、見た目の美しさを気にして患者様の要求水準が高まるのも前歯のインプラントの特徴です。 こういった症例では、技術的に難しいため、インプラント治療ではなくブリッジでの治療を勧める歯科医院が多いのが現実です。
しかし、ブリッジの場合、歯のない部分の歯ぐきが時間の経過とともにどんどん痩せていくため美しい見た目を維持することは困難です。又、健康な歯を削ってしまうことは最大のデメリットです。
私たちが最も得意とするのがこの前歯のインプラント治療(審美インプラント)です。誰が見てもインプラントと分からない水準で仕上げることが可能です。
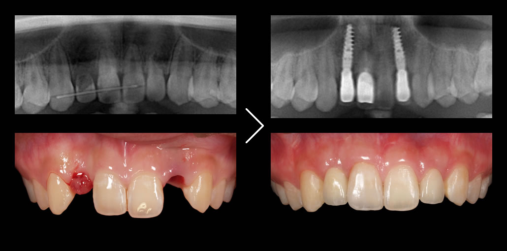
なぜ、前歯のインプラントが難しいのか

- 上の前歯はもともと骨が薄い
- 歯を失うと大きく骨が吸収してしまう
- 治療後に歯ぐきも下がりやすい
そのため、 骨が残っているところに無計画にインプラントを埋入するケースがほとんどで、その結果インプラントの上部構造の形態に無理が生じたり、見た目の酷い治療結果となりがちです。
他医院では行わない精密な治療計画
オールオン4クリニックでは、必要に応じてインプラント治療前に歯肉や骨の調整を行い、綿密な診査・診断・3Dプランニング・ガイデッドサージェリーを駆使して、寸分のズレのないインプラント埋入を行います。






