オールオン4の症例All-on-4 Cace
Live Surgery Report 01
| 名前 | H.M |
|---|---|
| 年齢 | 65歳 |
| 性別 | 男性 |
| お悩み | 日本各地のクリニックを受診し、カウンセリングを何回も受けているがどのクリニックで治療を受けるべきか迷っている。 |
術前の診査診断
術前写真

上顎:残存歯なし.安定剤を付け 総義歯をなんとか使用している
下顎:両側臼歯部は欠損. 前歯部はグラグラで残す事が出来ない
パノラマX線

上顎:合わない義歯を長期に使用していた為、歯槽骨がかなり失われている事がわかる。
下顎:通常のオールオン4治療が出来る。
上顎CT (cross-sectional画像)
上顎右側後方はインプラントを埋入する為の骨量はあるが、前歯部から左側後方にかけて、骨量は少ない。
3Dシミュレーション
Nobel Clinician によるインプラント埋入の為の3Dシミュレーション

インプラント埋入手術と同時に術前に用意された固定式の補綴物を入れ、機能性と審美性を
短時間で回復する為に、即時荷重を前提としたインプラント治療計画です。
右上後方:Nobel Parallel CC 4.3 × 15㎜ で即時荷重が可能
前方領域:Nobel Parallel CC 4.3 ㎜(レギュラープラットフォーム)を入れる骨量がない為、ナロープラットフォーム3.75×7㎜を3本使用する事で即時荷重が可能
左上後方:通常のインプラントを入れる骨量がない為に、ザイゴマインプラントを使用する事で即時荷重が可能
術前のインプラント埋入ポジション
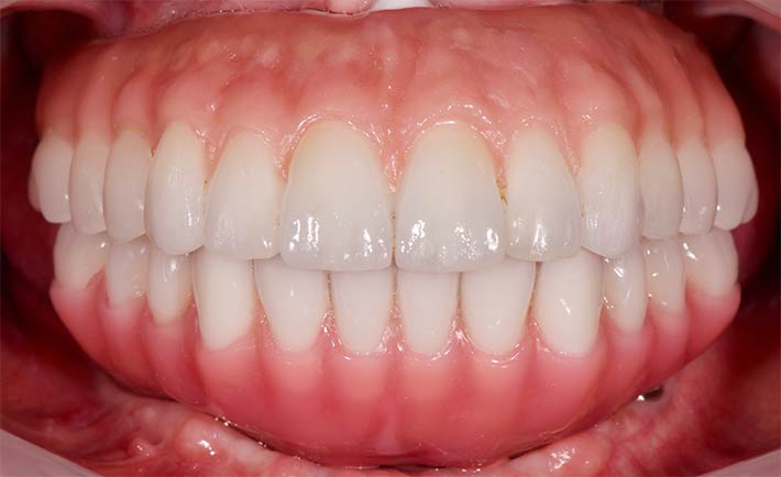
治療終了時
パノラマX線

上顎CT
術前の計画通りにインプラントが埋入されている事が確認できる
オールオン4を終えて
最終補綴 上顎:フルジルコニアタイプ/下顎:人工歯タイプ


顎骨が高度に吸収されている本症例においても、物が詰まりづらく発音しやすい最終補綴装置を提供しております。その為には術前の治療計画から、仮歯の調整まで全てのステップを丁寧に行うことが重要です。
治療のリスクと副作用
| 治療期間 | 約6ヶ月 |
|---|---|
| 治療費 | 5,720,000円(税込) モニター割引適用 / オリジナル動画撮影協力あり |
| リスク | 治療後の口腔管理が不適切な場合、埋入したインプラント周囲に感染・炎症を起こし、脱落する可能性がございます。 |
