オールオン4の症例All-on-4 Cace
Live Surgery Report 03
| 名前 | Y.R |
|---|---|
| 年齢 | 42歳 |
| 性別 | 女性 |
| お悩み | 歯がボロボロなのは分かっているが、時間的な余裕が無いことと歯科に対する恐怖心から、悪いままの状態を放置してしまった。人前でおもいっきり笑いたいので意を決して来院。 |
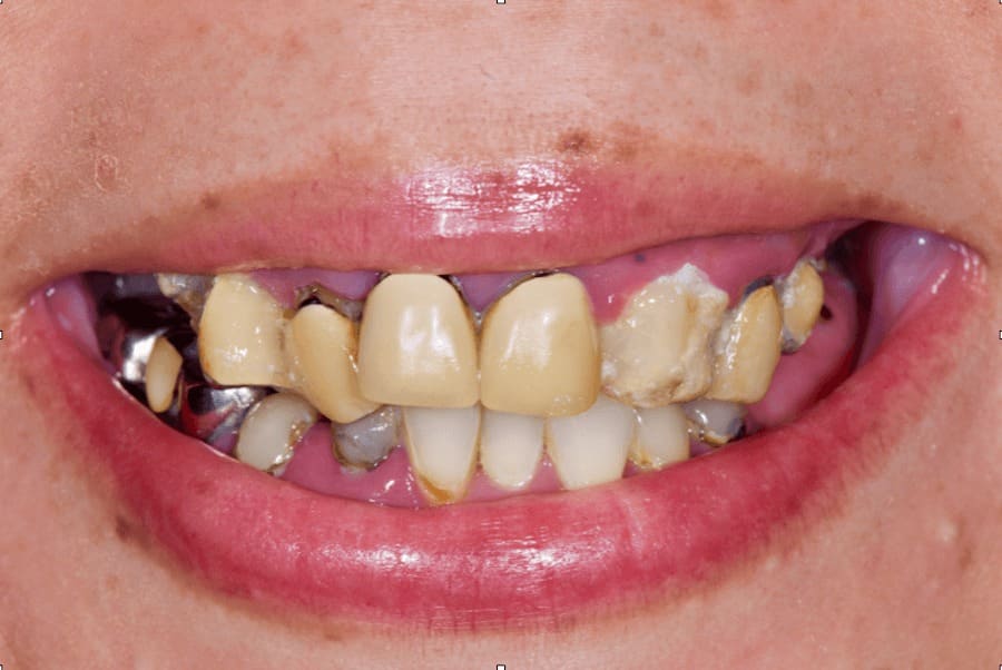
術前の診査診断
術前写真


上顎:
残せる歯はほとんど無い
下顎:
前歯のみ残せるが歯並びを改善する必要がある
パノラマX線

上顎:
残っている歯の根っこの部分が、ほとんど破折しており保存不可能
下顎:
前歯部は生活歯(神経がある)であり保存可能、臼歯部は保存不可能
診査診断
治療を進める上で最も重要なステップです。理想的な歯を模型上で Wax-Up します。その後、治療計画を立てていきます。

ラジオグラフィクガイド Radio Graphic Guide
最終的な歯並びを想定したラジオグラフィクガイドという、義歯の様な物を作成し口の中に入れてCTを撮影します。このラジオグラフィクガイドを、いかに正確に作るかが治療の成功の鍵となります。

3Dシミュレーション
Nobel Clinicianによるインプラント埋入の為の3Dシミュレーション

Nobel Clinician®︎という、インプラント診断様用のソフトを用いて正確にインプラントを入れる位置を決定する。
その後送られてくるサージカルテンプレートを用いて、インプラントを埋入する
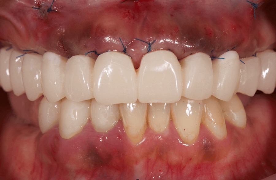
治療終了時
仮歯

手術と同時に、事前に用意していた仮歯をインプラントに固定
即時荷重を行い審美性と機能性を回復
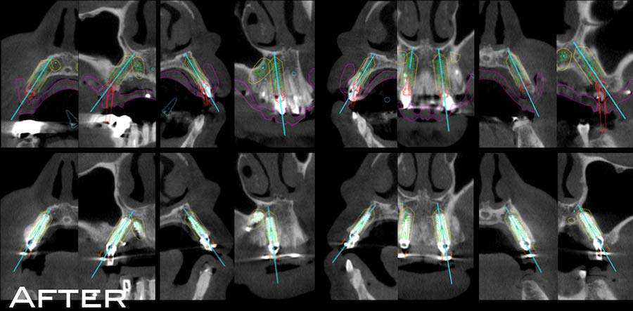
3Dシミュレーション
術前の3次元的なインプラント埋入計画と、術後のCT画像を比較すると、計画通りの位置にインプラントが埋入されている事が確認できる。この正確性はガイデッドサージェリーを行わなければ実現不能である。仮にインプラントの位置が0.5mmずれてしまうと、パーフェクトな審美性を獲得する事が出来ない。

前歯部

前歯部は、歯根の一部を残しインプラントを埋入 /PET(Partial Extraction Therapy)する事で、骨のボリュームを確保することが可能となる。前歯部のインプラント治療で、審美を獲得する有効なテクニックの一つである。
右側臼歯部

右側臼歯部のインプラント周囲の骨が足りない部位はGBR(骨造成)を行った。
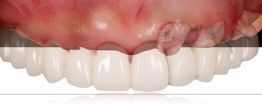
CTGconnective tissue graft

2つ目の仮歯を入れると同時に、軟組織が足りない部分を、結合組織を移植する事で改善する。
両側下顎臼歯部

両側下顎臼歯部は、ノーベルガイドを用いてインプラント埋入手術と同時に仮歯を入れ即時荷重を行った。その際、Nobel Biocare 社の ON1 CONCEPT を使用している。
オールオン4を終えて
最終補綴

2つ目の仮歯で歯肉の形態を整え、審美性、噛み合わせや発音などの機能性、清掃性等に問題が無いことを確認し最終的な補綴物を作る為のステップに移行する。
上顎:セラミックレイヤードフルジルコニアインプラントブリッジ
下顎:前歯部はインビザライン矯正治療で歯並びを改善。臼歯部はインプラント上部にFCZクラウンを使用
治療のリスクと副作用
| 治療期間 | 約4ヶ月 |
|---|---|
| 治療費 | 3,850,000円(税込) モニター割引適用 |
| リスク | 治療後の口腔管理が不適切な場合、埋入したインプラント周囲に感染・炎症を起こし、脱落する可能性がございます。 |
