All-on-4 Report
- 治療の流れ
- 私たちが選ばれる理由
Live Surgery Report 02
Profile基礎情報

| Name | S.T |
|---|---|
| Age | 56 |
| Sex | Male |
| Main Complaint | 仕事が忙しく歯には全く関心が無く、とうとう食事が困難になり治療を受ける事を決意。 |
Preoperative Diagnosis術前の診査診断
術前写真

パノラマX線

全顎に渡り歯周病、カリエス(虫歯)、根尖性歯周炎等が進行し、歯を保存する事が困難である。
上顎CT (cross-sectional画像)
抜歯後の状態は、全顎に渡り骨量が少ない。特に左上前方は根尖性歯周炎の影響で歯槽骨が大きく失われており、インプラントを入れる事が出来ない。

通常の All-on-4では、前方に2本のインプラントが必要であるが、矢印で示した部位には全く骨量がないので、ここにインプラントを埋入する事は出来ない。
Nobel Clinician Planning3Dシミュレーション
Nobel Clinicianによるインプラント埋入の為の3Dシュミレーション
インプラント埋入手術と同時に術前に用意された固定式の仮歯を入れ、機能性と審美性を短時間で回復する即時荷重を前提としたインプラント治療計画です。
右上後方:通常のインプラントを入れる骨量がない為に、ザイゴマインプラントを使用する事で即時荷重が可能
前方領域から左上後方:左上前方を避け、Nobel Parallel CC を4本入れる事で即時荷重を行う
左上後方:噛み合わせの力等を考慮し、長さ13㎜のインプラントとサイナスリフトを併用したインプラントをⅠ本追加し、右側のザイゴマインプラントを含め合計5本のインプラントで即時荷重を行う
ザイゴマインプラント(右上6相当部位)

ザイゴマインプランのポジションは患者さんの顔面骨の解剖学的なにより異なります。ザイゴマインプラントも通常のインプラント治療と同様外科主導で行うべきではなく、補綴主導でありより低侵襲でなければなりません。
1995年にBrånemarkが開発した頬骨に向かって埋入される長いインプラントです。高度に骨吸収した上顎臼歯部に対するインプラント治療としては、サイナスフロアエレベーションや骨移植等の付加的な骨造成処置(グラフト)を行う治療と、骨造成の代替としてショートインプラント、傾斜埋入、ザイゴマインプラントなどを適応する(グラフトレス)治療に大別されます。グラフトを選択した場合は多くの場合、即時荷重を行う事が出来ず、治療期間が長くなる事や、術後の骨吸収等のデメリットが考えられます。ザイゴマインプラントを使用したグラフトレス治療を行う事で、即時荷重が可能となりますが、本法は高度な治療技術を必要とします。また術後の感染リスクを考慮した上で慎重に選択すべき治療です。Dr橋村は、2010年よりザイゴマインプラント治療を行い、独自の改良を加え、術後の感染リスクを抑えたより安全性の高いザイゴマインプラント治療を行なっております。適応に際しては正確な埋入ポジションおよび角度が要求されるため、All-on-4 Clinic では、DTX studio™ implantを用いて治療計画立案、安全な埋入手術を行う事で、患者さんにとってインプラント及び補綴物を永く快適に使用していただける事が出来ます。
※即時荷重(Immediate Loading):「インプラントを埋入してから48時間以内に上部構造を装着し、対合歯と咬合させる方法です
※画像2枚目:左上から時計回りに、右上3相当部位 → 正中相当部位 → 左上5相当部位 → 左上6相当部位
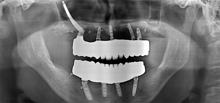
Postoperative Diagnosis治療終了時
パノラマX線

上顎CT
術前の3Dシュミレーションと治療終了時のインプラントポジションを重ね合わせると、計画通りにインプラントが埋入されている事が確認出来る。インプラントポジションの良し悪しは、インプラントの寿命を左右します。補綴から決定された、最適なインプラントポジションは、患者さんにとって永く快適にインプラントライフを過ごして頂く為の重要な要素であります。術前の診査診断と治療計画の立案、術前治療等のステップを確実に行う事で、安全で正確なインプラント治療が可能となります。
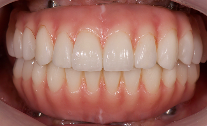
FinallyAll-on-4を終えて
最終補綴 (上下顎:フルジルコニアタイプ)


不自然な白い歯はカッコ悪い。白い中にも自然な透明感を求め、患者さんの笑顔を最大限に引き出す事が出来る完全オーダーメイドの補綴物を、患者さんの意見を聞きながら丁寧に作り上げております。
治療のリスクと副作用
| 治療期間 | 約6ヶ月 |
|---|---|
| 治療費 | ¥7,200,000(税抜)『モニター割引適用』 |
| リスク | 治療の副作用として、「治療後の口腔管理が不適切な場合、埋入したインプラント周囲に感染・炎症を起こし、脱落する可能性」がございます。 |
PICKUP CASESピックアップ症例










