オールオン4の症例All-on-4 Cace
Live Surgery Report 04
| 名前 | Y.M |
|---|---|
| 年齢 | 62歳 |
| 性別 | 女性 |
| お悩み | 入れ歯が合わなく痛いし、入れ歯を入れている事が嫌になってしまった。 |
術前の診査診断
術前写真

パノラマX線

上顎は残根が数本、下顎は前歯部に残存歯があるが、神経の治療が施されており状態は悪い。
左上顎洞内に粘膜貯留嚢胞が診られる。
上顎CT (cross-sectional画像)
上下顎共に通常のオールオンフォーを行う事が可能な骨量がある
3Dシミュレーション
DTX studio™ implant によるインプラント埋入の為の3Dシュミレーション
上顎のプランニング


最終補綴装置のマテリアルはジルコニアなので、なるべくアクセスホールがジルコニアフレームの中央に位置する様にインプラントをポジショニングする。また、ラジオグラフィックガイドの基底面の位置を見ながら清掃性と発音に考慮する事が大切。
インプラントを長持ちさせる為には、インプラントにかかる咬合力を考慮した総合的なプランンをたてる事が重要。
下顎のプランニング


Plan/lower jaw
dtxスタジオ、インプラントを用いての、インプラントの埋入計画です。
前方は、舌側に位置させすぎると、最終補綴物の形態に影響し、舌感が悪くなり、発音を阻害する恐れがありますので、考慮してプランを行います。
後方は、下顎神経の前方ループを充分にさけ、神経の損傷がないように安全に治療計画を立てます。
手術
X-Guideを使用し安全で正確なインプラント手術を行なっております
upper jaw



オールオン4を終えて
1st provisional restration



2nd provisional restration


術後のCT
術前の治療計画通りの位置に、インプラントを埋入する事が出来ました。
このように、ボーンリダクションを伴う、抜歯即時荷重症例において、Xガイドを用いることで、非常にシンプルな手術が行え、従来法(サージカルガイド)より正確な手術を行う事が可能となります。
Final restration



スマイル時の口元

Before

After
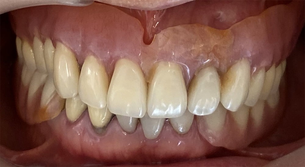
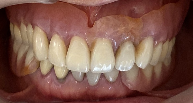
口腔内(正面)

Before

After
最終補綴装置は上下フルジルコニア上部構造で、傷が付かない、臭いが付かない最も整体親和性の高い素材です。当クリニックでは万が一の破折に備え全てのジルコニアにスペア(人工歯タイプ)を用意し、なるべく患者様にご迷惑がかからない治療を行なっております。
パノラマX線写真

Before

After
治療のリスクと副作用
| 治療期間 | 約6ヶ月 |
|---|---|
| 治療費 | 7,920,000円(税込) モニター割引適用 |
| リスク | 治療後の口腔管理が不適切な場合、埋入したインプラント周囲に感染・炎症を起こし、脱落する可能性がございます。 |
