激安インプラントは大丈夫? 適正な価格を考えるLow-Cost Implant Safety
安いインプラントには
理由があります
インターネットで検索をすると1本○万円!と謳うインプラント治療の宣伝が至る所に見られます。しかし、安いインプラントにはそれなりの理由がありますので、その点について簡単にお話します。
理由1. フリーハンドで無計画にインプラント埋入している
激安インプラントを提供している医院では、骨があるところ(=インプラントを埋入できそうなところ)に無計画にインプラントを埋入するケースが散見されます。その結果インプラントの上部構造の形態に無理が生じて、見た目の酷い治療結果となったり、噛み合わせが悪くトラブルが発生して、当院にやり直しの相談に来られる患者様が後を絶ちません。
オールオン4クリニックでは
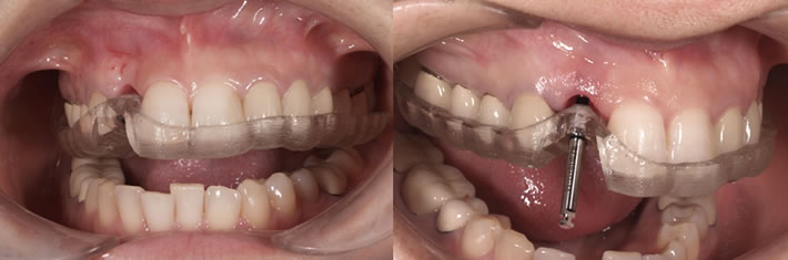
前歯のインプラント症例では、コンピュータシミュレーションに基づいたサージカルテンプレートを使用します。
精密な、診査・診断・プランニングを通じて、審美的(見た目)・機能的(咬み合わせ)に、どこにインプラントを埋入するのが正解なのかをシミュレーションした上で、ガイデッドサージェリーという手法で寸分違わぬ位置にインプラントを埋入します。 無計画に骨のある位置に埋入するのではなく、正しい位置にインプラントを埋入するために必要に応じて骨造成(骨を増やす処置)を行います。
理由2. 安い素材・安い技工所による上部構造の作製
インプラントの上部構造(インプラント体に取り付ける人工歯)を作るのは歯科技工士の仕事です。また、上部構造の素材には様々なものがあります。 安い素材を使用すれば耐久性・見た目の問題・衛生管理の問題など、たくさんの問題が発生します。同じく、安い金額で上部構造の作製を受注する歯科技工所で発注しても、全く同じ様な問題が発生する危険性が高くなります。
オールオン4クリニックでは
国内はもちろんのこと、世界で活躍する歯科技工士:志田氏が、あなたの上部構造を作製します。
見た目は天然の歯と区別がつかないほど美しく、耐久性もあり、清掃性も高い高精度の上部構造を提供することが可能です。
理由3. インプラント治療前後の行程を省いている
インプラントが失敗する最大のリスクは、「インプラント周囲炎」です。
歯周病が原因で歯を失うことになったケースでは、インプラント治療を行う前にしっかりと歯周病のコントロールをしておかなければ、インプラント周囲炎になる確率は高くなります。 また、インプラント治療後も定期的にプロフェッショナルによるメンテナンスを行い、埋入したインプラントに問題がないか確認していく必要がありますが、激安インプラントを提供しているクリニックではこういった基本的なケアがされていないことが多いようです。
オールオン4クリニックでは
インプラント手術前に、進行している歯周病の治療をきちんと行い、残っている歯の歯周病治療と並行して口腔内の細菌コントロールがきちんと出来た段階でインプラント手術を行います。 また、インプラント手術後の口腔内環境を維持するために定期的なメンテナンスを行うとともに、歯周病治療の品質向上を日々追求しています。
ペリオアナリーズ
インプラントは人工物ですが、きちんとしたメンテナンスを行わないと、ご自身の歯と同じように歯周病が進行します。また、インプラントの手術を行う前に歯周病治療を行い、口腔内の環境を整える必要があります。根本的なところから徹底した歯周病予防を行うためには、患者様一人ひとりの口の中の状態を把握した上で、予防を行わなければなりません。 そのために、当院では「ペリオアナリーズ」を導入しています。ペリオアナリーズとは、歯周病に関与している病原菌の種類と比率を検査することができるキットです。歯周ポケット内の唾液を採取するだけの簡単な検査のため、痛みはほとんど感じません。歯周病原菌検査を行うことで歯周病リスクを細菌レベルで評価し、患者様のリスクに合った予防プログラムを作成します。
理由4. 安いインプラント体を仕入れて使用している
インプラント治療を行うには、埋入するインプラント体を、メーカーから仕入れて患者様に提供します。このインプラント体の品質・価格がピンキリで、世界的にマイナーで治療実績の少ないインプラントは価格が安くなります。 また、各メーカーからワンピースタイプという、シンプルで安価なインプラント体が販売されていますが、このインプラントで治療できる症例は極めて限られていて、前歯のインプラントをはじめ、比較的難易度の高いインプラント治療には使うことができません。 安いインプラント体を大量に仕入れることでインプラントの価格を下げることが可能です。
オールオン4クリニックでは
ノーベルバイオケア社製のツーピースタイプのインプラントをメインに使用しています。
当院がノーベルバイオケア社製のインプラントを選ぶ理由は、
- インプラントメーカーの中で一番の歴史がある
- 補綴ソリューションが充実している
- 幅広い適応症例がある
- 科学的根拠、長期的臨床の実績がある
- 国内外の使用者が多い為、多くの歯科医院で対応可能である
- 製品トラブルが生じても対応しやすい
安価なインプラントに
ご注意ください
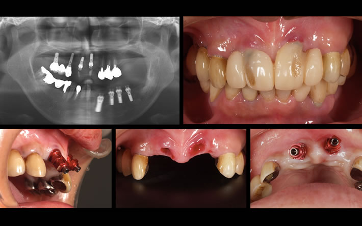
インプラント治療の相場は、30〜40万円です。 1本10万円程度の格安をアピールするインプラントには、十分注意して下さい。 下の写真は、他医院でインプラント周囲炎を起こして転院して来られた方の症例です。インプラントの埋入位置・角度ともに無計画で、それをごまかすために作られた被せ物が、見た目にも極めて不自然です。この状態からリカバリーするには、インプラントを撤去した上で、失った骨を再生をさせるなど、多くの時間と費用がかかってしまいます。
手間を省いた上、粗悪なマテリアルを使うことで、安くすることは可能ですが、 結果的に患者さんを苦しめることになります。 そして、その結果は、数年経って初めて気付く。 長年にわたって真剣にインプラント治療に取り組んできた私達だから分かる この事実を是非ご理解下さい。 ホームページには、いくらでも嘘は書けます。 しかし、症例写真は嘘をつきません。私達は自信があるからこうして多くの 症例を掲載しています。 本当の技術力は、症例を見ていただければ分かります。
