WEB予約はこちら

前歯のインプラント

前歯のインプラント症例#8

Implant case study #8.

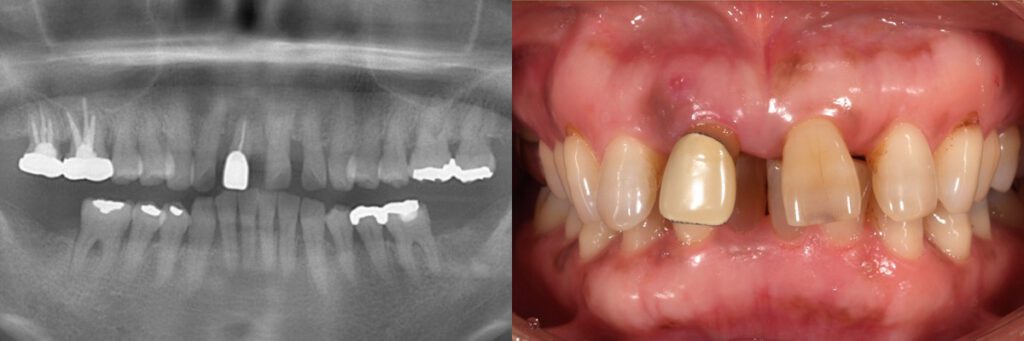
初診時

Diagnostic Wax-up

埋入角度のシミュレーション

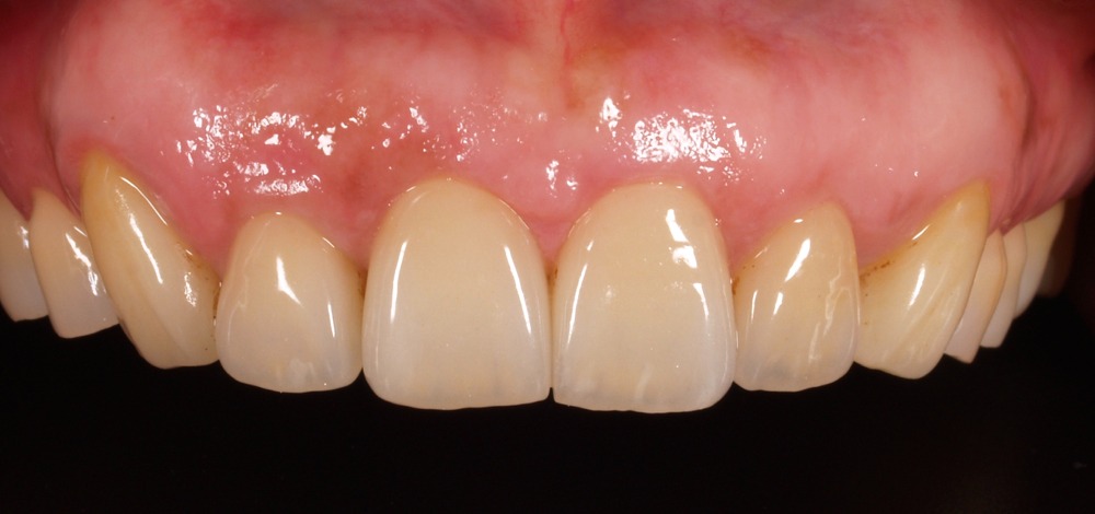
ファイナルレストレーション

治療の説明
治療内容 インプラント埋入
費用 2,120,000円 +税
リスク・副作用 インプラントは、過剰な咬合力がかかった場合、インプラント周囲炎により骨の吸収を認めることがあります

 

CASE STUDY症例

Case. #8

前歯のインプラント

Case. #7

右の前歯が折れた

Case. #6

前歯の見た目をキレイにしたい

インプラントの症例一覧

01
前歯のインプラント治療では、見た目の良し悪しが患者様の満足度を大きく左右します。しかし、誰が見てもインプラントと分からないほどの自然な美しさを実現するのは、非常に困難です。
02
インプラント治療は、診査・診断・治療計画が全てです。フリーハンドでインプラントを埋入するのではなく、3Dシミュレーションを行い、計画的に間違いの起こらないよう埋入することが肝心です。
03
自分の施した治療の結果を10年、20年と追跡して、そこから学び、日々技術を高めていくために治療前後の症例写真をはじめ、徹底した臨床記録を管理する必要があります。
04
インプラント治療は、行程を短縮して効率化すれば安価に提供することができますが、歯周病の管理、咬み合わせの調整、見た目の美しさなど全てのことを考えれば、決して安売りすることはできません。
05
骨が少ないので、インプラント治療はできません。と言うのは簡単なことです。しかし、全ての患者様にインプラント治療を提供できるように、新しい技術・困難な症例に挑み続けるのは、歯科医師としてのこだわり、プライドの問題です。
06
優れたインプラントクリニックは、歯科技工士を大切にします。歯科医師と技工士のチームワークが成り立って初めて高品質のインプラント治療が可能になります。目に見えている人工歯は技工士の作品なのです。
07
オペ室には高性能なマイクロスコープをはじめ、医科用の全身麻酔システム、麻酔計、クリーンシステムなど安心・安全な手術に必要なあらゆる設備が整っています。また、滅菌室・ラボ・リカバリールームなどにもこだわっています。

 

インプラントの選び方
安心のための取組み

Clinic Information医院情報

  • テスト7
  • テスト6
  • テスト5
  • テスト4
  • テスト3
  • テスト2
  • テスト1
  • エントランス
  • オペ室ベージュ
  • オペ室
  • テスト7
  • テスト6
  • テスト5
  • テスト4
  • テスト3
  • テスト2
  • テスト1
  • エントランス
  • オペ室ベージュ
  • オペ室

TEL:0120-845-556(患者様専用)

〒104-0061
東京都中央区銀座2-8-12クローバー銀座ビル3F

診療時間 10:00~18:00(最終受付) / 休診:日曜・祝日