症例集All-on-4 Cace
-REPORT
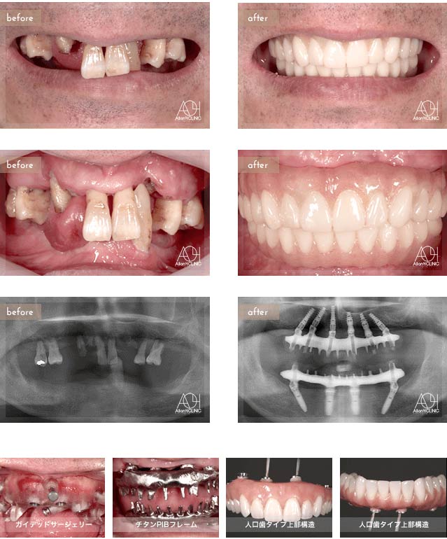
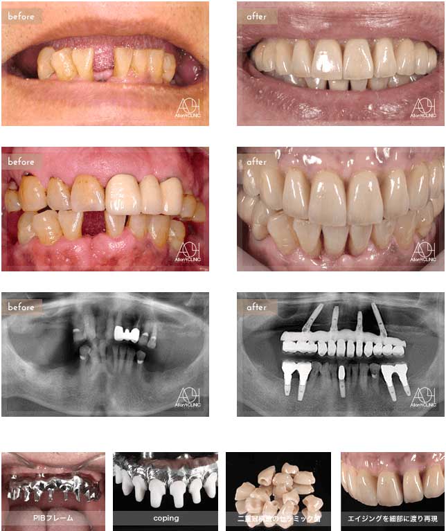
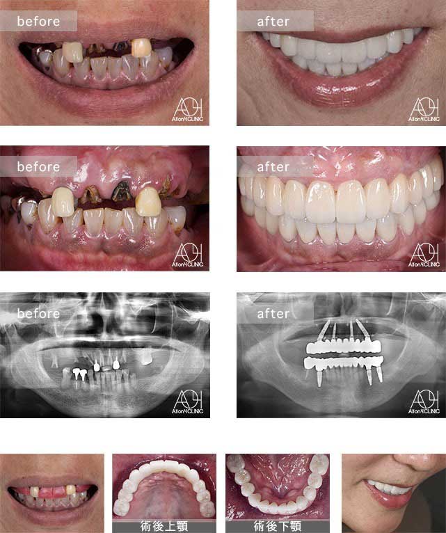
Treatment : All-on-4
- Upper All-on-4
- Lower All-on-4
Age : 62 Sex : 女 Y.M
| 主訴 | 入れ歯が合わなく痛いし、入れ歯を入れている事が嫌になってしまった。 |
|---|---|
| 治療内容 | X-guide(エックスガイドナビゲーションシステム)を用いてインプラントを正確に埋入。 上下オールオン4。 |
| 治療費(総額) | ¥7,200,000(税抜)『モニター割引適用』 |
| リスク | 治療後の口腔管理が不適切な場合、埋入したインプラント周囲に感染・炎症を起こし、脱落する可能性がございます。 |
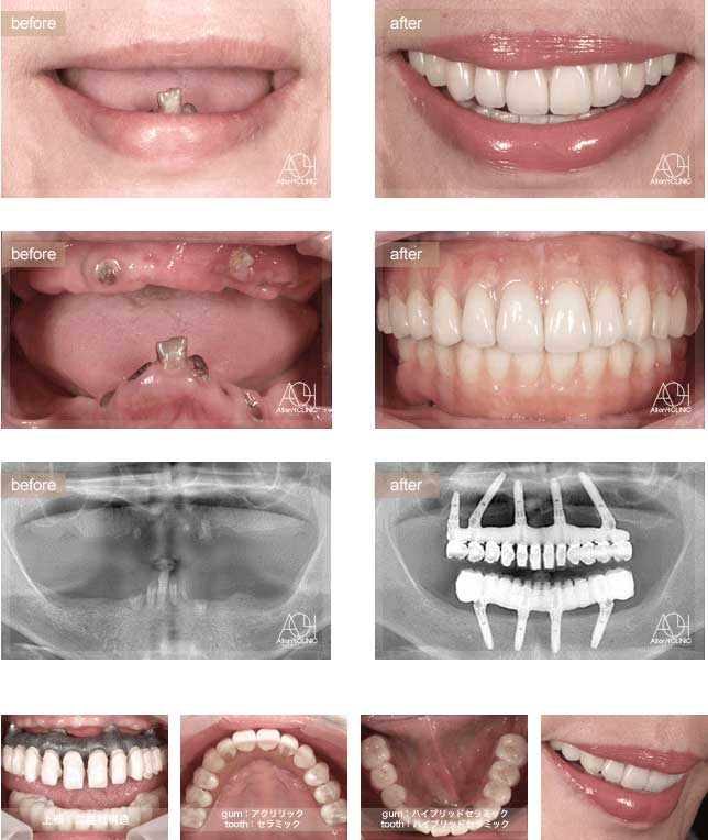
Treatment : All-on-4 non gum
- Upper All-on-4
- Lower implant
Age : 42 Sex : 女 Y.R
| 主訴 | 歯がボロボロなのは分かっているが、時間的な余裕が無いことと歯科に対する恐怖心から、悪いままの状態を放置してしまった。人前でおもいっきり笑いたいので意を決して来院。 |
|---|---|
| 治療内容 | ガイデッドサージェリーにてインプラント埋入。歯槽骨が残っていたため歯冠形態のみ(ガム無し)の補綴 |
| 治療費(総額) | ¥3,500,000(税抜) 『モニター割引適用』 |
| リスク | 治療後の口腔管理が不適切な場合、埋入したインプラント周囲に感染・炎症を起こし、脱落する可能性がございます。 |
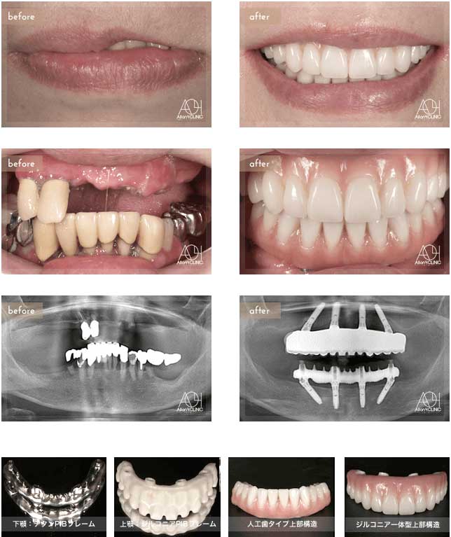
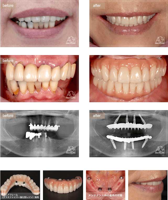
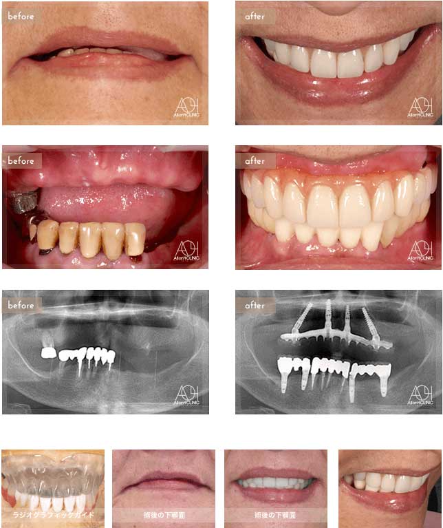
Treatment : All-on-4 zygoma
- Upper All-on-4
- Lower All-on-4
Age : 56 Sex : 男 S.T
| 主訴 | 仕事が忙しく歯には全く関心が無く、とうとう食事が困難になり治療を受ける事を決意。 |
|---|---|
| 治療内容 | ガイデッドサージェリーにてインプラント埋入。極めて骨量が少ないためザイゴマインプラントにて治療 |
| 治療費(総額) | ¥7,200,000(税抜)『モニター割引適用』 |
| リスク | 治療後の口腔管理が不適切な場合、埋入したインプラント周囲に感染・炎症を起こし、脱落する可能性がございます。 |
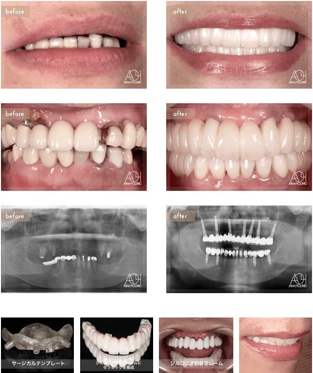
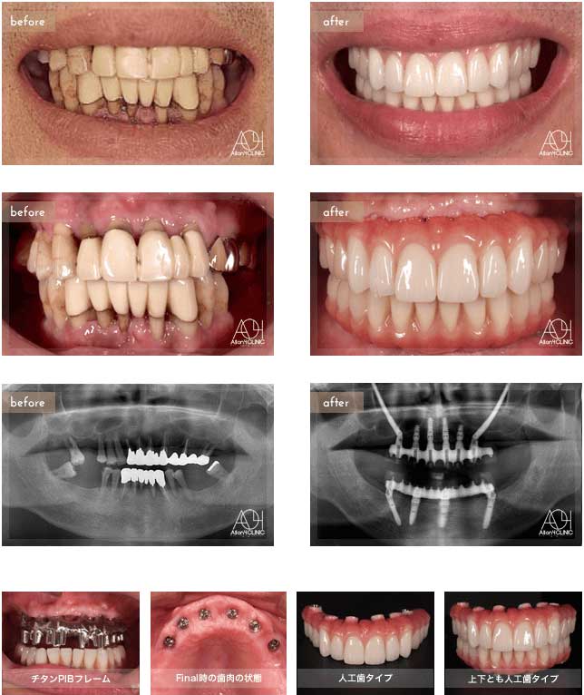
Treatment : All-on-4 zygoma
- Upper All-on-4
- Lower All-on-4
Age : 65 Sex : 男 H.M
| 主訴 | 日本各地のクリニックを受診し、カウンセリングを何回も受けているがどのクリニックで治療を受けるべきか迷っている。 |
|---|---|
| 治療内容 | ガイデッドサージェリーにてインプラント埋入。骨量が少量であったためザイゴマインプラントにて治療 |
| 治療費(総額) | ¥5,200,000(税抜) 『モニター割引適用』 『オリジナル動画撮影協力あり』 |
| リスク | 治療後の口腔管理が不適切な場合、埋入したインプラント周囲に感染・炎症を起こし、脱落する可能性がございます。 |
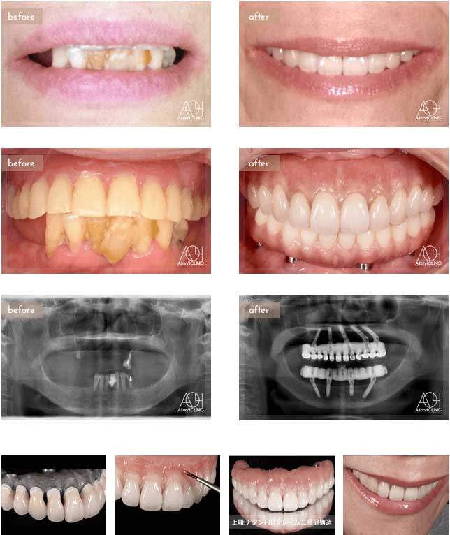
-PICK UP
Treatment :
- Upper All-on-4 nongum
- Lower implant
Age : 54 Sex : 女
| 主訴 | 歯がぼろぼろで常にマスクしているので綺麗に治して人前で笑いたい |
|---|---|
| 治療内容 | 上顎:オールオン4 non gum 下顎:インプラント埋入 |
| 治療費(総額) | ¥5,000,000(税抜) |
| リスク | 治療後の口腔管理が不適切な場合、埋入したインプラント周囲に感染・炎症を起こし、脱落する可能性がございます。 |
Treatment :
- Upper All-on-4
- Lower implant
Age : Sex : 男 01_4468
| 主訴 | 上下の入れ歯が合わない。インプラントで固定したい |
|---|---|
| 治療内容 | 上顎:オールオン4 下顎:インプラント埋入 |
| 治療費(総額) | ¥3,500,000(税抜) |
| リスク | 口腔管理により感染・炎症を起こす可能性がある |
Treatment :
- Upper All-on-4
- Lower implant
Age : Sex : 女 02_3651
| 主訴 | 前歯のブリッジが壊れてしまい良く噛めないし、見た目も改善したい |
|---|---|
| 治療内容 | 上顎:オールオン6 下顎:インプラント埋入 |
| 治療費(総額) | ¥5,500,000(税抜) |
| リスク | 口腔管理により感染・炎症を起こす可能性がある |
Treatment :
- Upper straight nongum
- Lower implant
Age : Sex : 女 02_924
| 主訴 | 上下共に被せ物やブリッジが壊れてしまい、噛む事が出来ない |
|---|---|
| 治療内容 | インプラント埋入 |
| 治療費(総額) | ¥5,500,000(税抜) |
| リスク | 口腔管理により感染・炎症を起こす可能性がある |
Treatment :
- Upper All-on-5
- Lower All-on-4
Age : Sex : 女 02_8
| 主訴 | 上の入れ歯が落ちてしまう。下の歯もグラグラで良く噛めない |
|---|---|
| 治療内容 | オールオン4 |
| 治療費(総額) | ¥8,000,000(税抜) |
| リスク | 口腔管理により感染・炎症を起こす可能性がある |
Treatment :
- Upper All-on-4
- Lower All-on-4
Age : Sex : 女 01_4376
| 主訴 | 上下の歯がグラグラして噛み辛い。インプラントで固定したい |
|---|---|
| 治療内容 | オールオン4 |
| 治療費(総額) | ¥5,000,000(税抜) |
| リスク | 口腔管理により感染・炎症を起こす可能性がある |
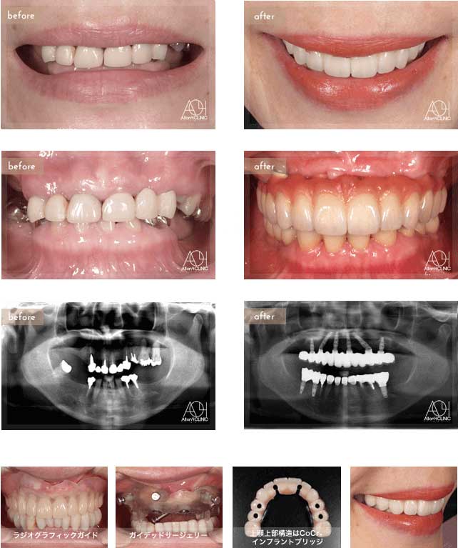
Treatment :
- Upper All-on-4
- Lower implant
Age : Sex : 女 02_1801
| 主訴 | 上の入れ歯が合わないし、右下奥歯が無いので噛めない |
|---|---|
| 治療内容 | インプラント埋入 |
| 治療費(総額) | ¥5,000,000(税抜) |
| リスク | 口腔管理により感染・炎症を起こす可能性がある |
Treatment :
- Upper zygoma
- Lower -
Age : Sex : 女 01_5020
| 主訴 | 上の入れ歯が合わない |
|---|---|
| 治療内容 | オールオン4 |
| 治療費(総額) | ¥3,800,000(税抜) |
| リスク | 口腔管理により感染・炎症を起こす可能性がある |
Treatment :
- Upper Zygoma
- Lower All-on-4
Age : 44 Sex : 男 02_2876
| 主訴 | 上下共に歯周病で歯がグラグラで噛む事が出来ない |
|---|---|
| 治療内容 | オールオン4 |
| 治療費(総額) | ¥6,000,000(税抜) |
| リスク | 口腔管理により感染・炎症を起こす可能性がある |
Treatment :
- Upper All-on-6
- Lower All-on-4
Age : 61 Sex : 男 02_2089
| 主訴 | 上下共に歯がボロボロで食事も出来ないし、見た目もどうにかしたい |
|---|---|
| 治療内容 | オールオン4 |
| 治療費(総額) | ¥6,700,000(税抜) |
| リスク | 口腔管理により感染・炎症を起こす可能性がある |
Treatment :
- Upper Zygoma
- Lower All-on-4
Age : 67 Sex : 女 02_3738
| 主訴 | 上顎の入れ歯が合わないし、下顎の歯がグラグラするので良く噛めない |
|---|---|
| 治療内容 | オールオン4 |
| 治療費(総額) | ¥6,700,000(税抜) |
| リスク | 口腔管理により感染・炎症を起こす可能性がある |
Treatment :
- Upper All-on-4 nongum
- Lower -
Age : 70 Sex : 女 01_2604
| 主訴 | 上顎の歯がグラグラして噛み辛いし、見た目も気になる |
|---|---|
| 治療内容 | オールオン4 |
| 治療費(総額) | ¥4,500,000(税抜) |
| リスク | 口腔管理により感染・炎症を起こす可能性がある |
Treatment :
- Upper All-on-6
- Lower All-on-4
Age : 62 Sex : 男 01_2203
| 主訴 | 上顎の入れ歯が合わないし、下顎の右奥歯もぐらついてきて噛めない |
|---|---|
| 治療内容 | オールオン4 |
| 治療費(総額) | ¥8,000,000(税抜) |
| リスク | 口腔管理により感染・炎症を起こす可能性がある |
Treatment :
- Upper All-on-5
- Lower All-on-4
Age : 60 Sex : 女 01_2039
| 主訴 | 歯医者が怖いので長年歯がない状態で過ごしてが、食事も困難だし人前にも出る事が出来ない |
|---|---|
| 治療内容 | オールオン4 |
| 治療費(総額) | ¥8,000,000(税抜) |
| リスク | 口腔管理により感染・炎症を起こす可能性がある |
Treatment :
- Upper All-on-4
- Lower All-on-4
Age : 61 Sex : 女 01_1585
| 主訴 | 全体的に歯周病で歯がグラグラで噛めないし見た目も気になる |
|---|---|
| 治療内容 | オールオン4 |
| 治療費(総額) | ¥6,000,000(税抜) |
| リスク | 口腔管理により感染・炎症を起こす可能性がある |
Treatment :
- Upper All-on-4
- Lower implant
Age : 82 Sex : 男 01_1171
| 主訴 | 上の歯がグラグラするし奥歯がなくて噛み辛い |
|---|---|
| 治療内容 | オールオン4 |
| 治療費(総額) | ¥5,600,000(税抜) |
| リスク | 口腔管理により感染・炎症を起こす可能性がある |










