インプラント症例Implant Case
前歯のインプラント症例#5
歯の内部にヒビが入った前歯
初診時

ラジオグラフィックガイド

ガイデッドサージェリー

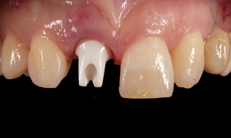
生体親和性が高いジルコニアアバットメント

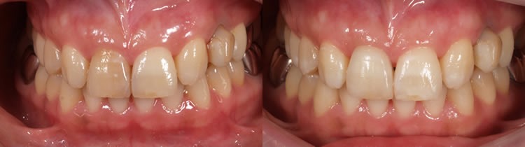
ファイナルレストレーション

| 治療内容 | インプラント埋入 |
|---|---|
| 費用 | 583,000円(税込) |
| リスク | インプラントは、過剰な咬合力がかかった場合、インプラント周囲炎により骨の吸収を認めることがあります |
歯の内部にヒビが入った前歯

ラジオグラフィックガイド

ガイデッドサージェリー

生体親和性が高いジルコニアアバットメント


| 治療内容 | インプラント埋入 |
|---|---|
| 費用 | 583,000円(税込) |
| リスク | インプラントは、過剰な咬合力がかかった場合、インプラント周囲炎により骨の吸収を認めることがあります |