インプラント症例Implant Case
前歯のインプラント症例#4
前歯の欠損に対するインプラント
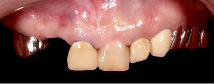
初診時
かつて抜歯してそのままにしていた箇所へのインプラント治療

Nobel Clinician によるシミュレーション

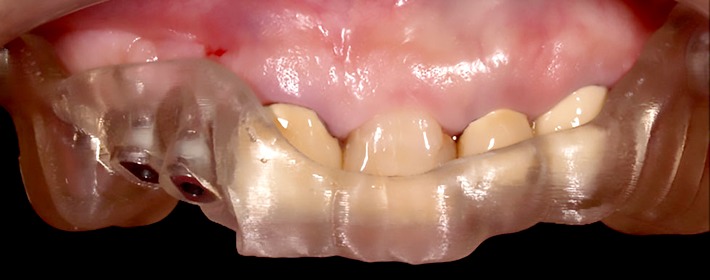
ガイデッドサージェリー

歯肉を開くと大きく骨が吸収しているため、インプラント埋入と同時にGBR


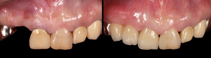
ファイナルレストレーション

| 治療内容 | インプラント埋入 |
|---|---|
| 費用 | 1,496,000円(税込) |
| リスク | インプラントは、過剰な咬合力がかかった場合、インプラント周囲炎により骨の吸収を認めることがあります |
