難しい症例に挑戦する歯科医師のプライドpride
インプラントできないと
言うのは簡単
インプラント治療は、天然歯を守るとても素晴らしい治療法です。 骨が少ないので、インプラント治療はできません。と言うのは簡単なことです。しかし、それは「あなたの主治医ができない」ということであり、「インプラント治療ができない」わけではありません。全ての患者様にインプラント治療を提供できるよう、技術習得のための勉強は一生続きます。
決して諦めずに、
一度ご相談にいらして下さい
抜歯して総入れ歯を勧められた患者様や、長年総入れ歯に悩まされて来た患者様向けに、ありとあらゆる術式を組み合わせて、多くの歯科医院が不可能と考えるようなケースにも十分に対応してきました。 実際にこれまで治療できなかったケースは、重度の糖尿病にかかった患者様のみで、その他全てのケースでインプラント治療を提供してまいりました。決して諦めずに、一度ご相談にいらして下さい。 私たちが何とかします。
顎の骨が足りない場合の
対処法
-
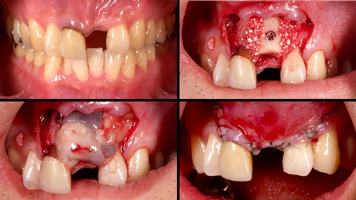
1. 骨造成(ベニアグラフト)

インプラントを埋入する部位の骨の幅が不足している場合に、他の部位から自家骨をブロックで採取して移植する手術です。
-
2. オールオン4

臼歯部(奥歯)の部分に骨量が十分になく、インプラントのストレート埋入が難しい場合、オールオン4を選択します。傾斜埋入によって上顎洞を避けるとともに、限られた骨量でも十分な支持力を維持することが可能です。
-
3. Zygoma Hybrid

前歯部のみに骨が残っているケースでは、左右1本ずつ頬骨にインプラントを埋入(Zygoma Hybrid)します。
-
4. Zygoma Extramaxilla

上顎のどこにも十分な骨が残っていない場合、左右2本ずつ、頬骨にインプラントを埋入します。(Zygoma extra maxilla)
このソリューションを提供できるクリニックは国内では10件も存在しない、高度な治療法です。
