インプラント症例Implant Case
前歯のインプラント症例#6
前歯の見た目をキレイにしたい
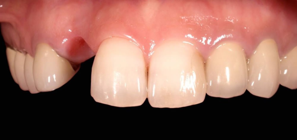
初診時
他医院で抜歯だけ行い、前歯のインプラントを希望して当院へ来院。

ワックスアップと、Nobel Clinician によるプランニング

ガイデッドサージェリー

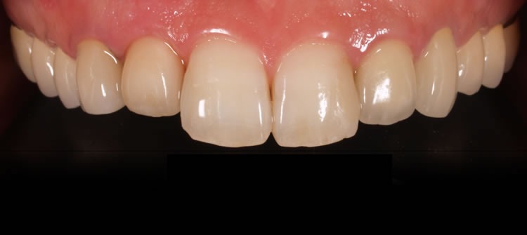
ファイナルレストレーション


| 治療内容 | インプラント埋入 |
|---|---|
| 費用 | 638,000円(税込) |
| リスク | インプラントは、過剰な咬合力がかかった場合、インプラント周囲炎により骨の吸収を認めることがあります |
前歯の見た目をキレイにしたい
他医院で抜歯だけ行い、前歯のインプラントを希望して当院へ来院。

ワックスアップと、Nobel Clinician によるプランニング

ガイデッドサージェリー

ファイナルレストレーション


| 治療内容 | インプラント埋入 |
|---|---|
| 費用 | 638,000円(税込) |
| リスク | インプラントは、過剰な咬合力がかかった場合、インプラント周囲炎により骨の吸収を認めることがあります |