インプラント症例Implant Case
前歯のインプラント症例#3
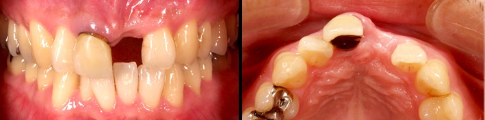
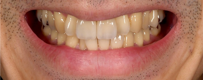
前歯を失った状態が長く経過した
初診時
前歯を失った状態で時間が経過したため、骨が大きく吸収されています。

ワックスアップ

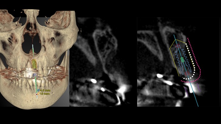
Nobel Clinician による埋入位置、埋入角度のシミュレーション


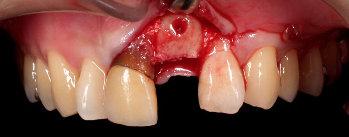
自家骨をブロックで採取して移植(ベニアグラフト)し、骨の厚みを増します。

最善の位置・角度でインプラント埋入



ファイナルレストレーション


| 治療内容 | インプラント埋入 |
|---|---|
| 費用 | 748,000円(税込) |
| リスク | インプラントは、過剰な咬合力がかかった場合、インプラント周囲炎により骨の吸収を認めることがあります |
