MENU CLOSE

X-GUIDE Live Surgery #01 (2021.04.18SUN)

治療の流れ
私たちが選ばれる理由

Clinic Information医院情報

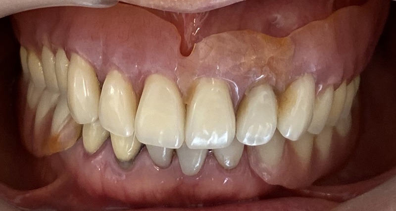
  • テスト7
  • テスト6
  • テスト5
  • テスト4
  • テスト3
  • テスト2
  • テスト1
  • エントランス
  • オペ室ベージュ
  • オペ室
  • テスト7
  • テスト6
  • テスト5
  • テスト4
  • テスト3
  • テスト2
  • テスト1
  • エントランス
  • オペ室ベージュ
  • オペ室

TEL:0120-845-556(患者様専用)

〒104-0061
東京都中央区銀座2-8-12クローバー銀座ビル3F

診療時間 10:00~18:00(最終受付) / 休診:日曜・祝日