インプラントImplant
オールオン4・インプラントの
ご相談は無料です
カウンセリングからCT・レントゲン撮影、口腔内検査までカウンセリング当日に行います。
治療計画や費用についてしっかりとご説明させていただきますのでご自身はもちろんご家族の方などご検討の上、治療を受けていただくようお勧めしております。
まずはお気軽にご相談にお越しください。

オールオン4クリニック 院長橋村 吾郎
症例
実績

- 2001年〜2010年 4,251本
- 2011年〜2020年 4,988本
- 2021年〜2024年 1,805本

- 2001年〜2010年 388症例
- 2011年〜2020年 513症例
- 2021年〜2024年 386症例
- (※オールオン4治療を含む)

安心のインプラント治療の5つのポイント
01技術

インプラントメーカーであるノーベルバイオケアの公認インストラクターとして、全国の歯科医師にインプラント・オールオン4を教える講師も行っています。
一般的には治療が難しいと言われる難症例の患者様の治療も行っております。
03痛みを感じにくい、怖くない治療

オールオン4クリニックでは、少しの痛みでも苦手な方や嘔吐反射がある患者様でも安心して治療を受けていただけるように、全身麻酔、静脈内鎮静の麻酔下での治療を行っております。
また、浸潤麻酔(一般的な歯科麻酔)の際も、歯肉の表面麻酔をしてから行うので、痛みを感じることはありません。
04専門のデジタル機器を導入

フェイシャルスキャンやDTX studio™ implantといった専門のデジタル機器を治療に取り入れ、歯科医師の経験に頼る治療ではなくデータに基づいた治療を行っております。
インプラント治療の
正しい知識
ちゃんとしたインプラントを選びたい患者様へ
“成功とは、インプラントをただ埋入することではなく、インプラントが長期に渡って美しく機能し続けることである。”
一番難しいのが、
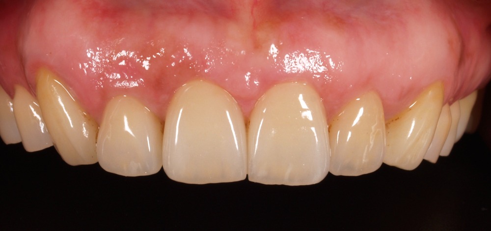
前歯のインプラント治療

前歯のインプラント治療では、見た目の良し悪しが患者様の満足度を大きく左右します。しかし、誰が見てもインプラントと分からないほどの自然な美しさを実現するのは、簡単ではありません。インプラントの埋入位置の正確なプランニングがポイントになります。
正確な診査・診断と
痛みに配慮したインプラント

前歯のインプラント治療は、診査・診断・治療計画が全てです。骨のある位置に当てずっぽうに、フリーハンドでインプラントを埋入するのではなく、3Dシミュレーションを行い、計画的に間違いの起こらない方法で埋入することが肝心です。また、痛みを抑えて、出来るだけ治療回数を少なく、治療期間を短く、患者様の負担の少ない即時荷重(手術と同時に仮歯を入れ、見た目と機能を早期に回復する治療)を目指します。
長期に渡って
あなたの治療結果を見守る

インプラント治療で最も大切なことは、自分の施した治療の結果を10年、20年と追跡して、そこから学び、日々技術を高めていくことです。そのためには、治療前後の症例写真をはじめ、徹底した臨床記録を管理する必要があります。治療結果に真摯に向き合い、患者さまと共に歩む姿勢を大切に。
激安インプラントは大丈夫?
適正な価格を考える

手間を省くこと、安い技工物の使用、設備や衛生管理をいい加減に行うことでインプラント治療費はいくらでも安くできますが、安くて良いインプラント治療はあり得ないと断言できます。安さに惹かれ結局後でトラブルを抱えて後悔するケースが後を絶ちません。インプラント治療のやり直しは非常に難しいのです。インプラントの治療費は、ドクターの自信の現れとお考え下さい。
難しい症例に挑戦する
担当医のプライド

インプラント治療は、天然歯を守るとても素晴らしい治療法です。骨が少ないので、インプラント治療はできません。と言うのは簡単なことです。しかし、それは「あなたの主治医ができない」ということであり、「インプラント治療ができない」わけではありません。全ての患者様にインプラント治療を提供できるよう、技術習得のための勉強は一生続きます。
美しい補綴物の仕上がり

前歯インプラント治療における外科手術は建築で例えるなら基礎工事。計画通りに柱が入っていなければいくら豪華な家を建てても数年で崩れてしまいます。家の部分を作る技工士の技術もとても重要で、歯科医師と技工士のチームワークが成り立って初めて高度なインプラント治療が可能になります。目に見えている人工歯は技工士の作品なのです。
高度な治療に必要な
高性能の医療機器

患者様のために、高度な治療に必要な高性能の医療機器を揃えております。医療技術・医療機器は日進月歩です。外科手術には、徹底した衛生管理が必要です。あなたは汚いクリニックで治療を受けたいですか?高い管理レベルを保つために、1つのオペ室、1人の患者様にこだわります。
インプラント治療後、上部構造セットから5年間通常使用のうちに、不都合もしくは破損が生じた場合は、修理もしくはお取り換え治療を無料で行います。インプラントの費用
1本あたり 400,000〜430,000円
治療のリスク:インプラント周囲炎の可能性があるためメンテナンスが必要な場合がございます。



